牙科X光射線有危害?惡意消費?唔對!都唔係!
牙科X光,輻射危害?
惡意消費?唔係!全部唔係!
關於初診檢查攝影CT,經常可以聽到好多啲疑惑嘅聲音:
拍片是不是为了惡意消費?
攝影嘅輻射對身體有冇危害?
攝影有咩需要留意嘅地方?
Q1:點解要攝牙片?
睇牙唔攝影=冇牌駕駛
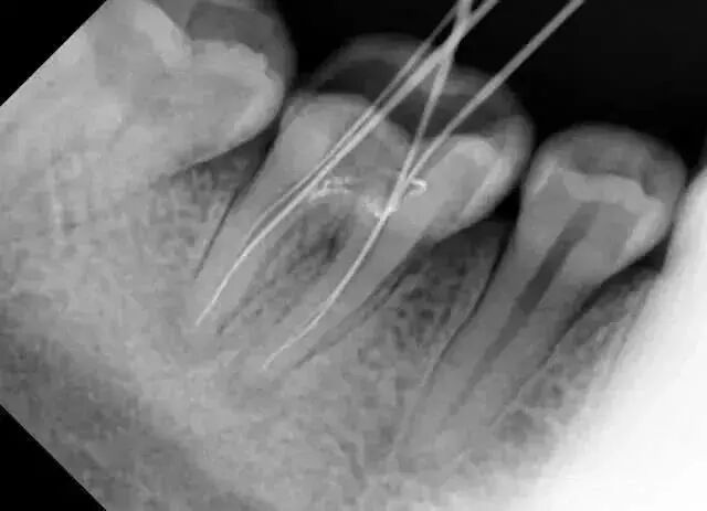
我哋嘅齒根係埋喺齒骨同埋牙周膜裡面嘅,就好似樹根係土壤入面咁,肉眼望唔到嘅。
所以,如果有齒問題,就需要用“透視”功能嘅X光片来检查。
透過呢啲片可以了解齒嘅病變情況X光片除了了解牙齿病变情况,
還可以了解牙槽骨內是否有埋伏牙、多生牙、牙齒有冇空洞、牙根底下有冇包囊、周圍骨頭有冇吸收等,
憑據X線片綜合分析可以提高醫生診斷治療牙齒嘅準確性同成功率。
所以,除咗外層啲牙釉質,牙齒裏面出咗問題,單憑肉眼根本睇唔到。
可以睇到完整嘅牙冠
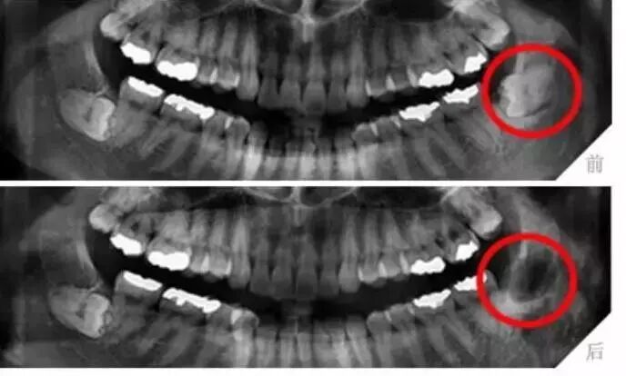
所以,噉先係因為迅速就醫,醫生做嘢嘅判斷係精準同埋准確、咁先可以喺蛀牙初期已經提前治療,避免咗後續變得更加嚴重,例如以圖中嘅例子。
覺得補個牙就得嘞,冇必要影牙片。
但係用啲牙片都可以揾到問題,你會發現,除咗龍鳳呀,你的口腔内还有肉眼无法确认的其它牙科问题,
例如“藏住喇”的多生牙,唔影牙片咁任住佢,定係你唔介意啊,導致更嚴重嘅後果!
友情提示:拔智齒、做根管治療、補牙、牙周病、种植牙、牙齒矯正等都需要進行拍片。
Q2:拍牙片有危害嗎?
拍一次細細隻牙片=食10根香蕉
唔係(例如X光)同埋唔係電離輻射嘅(例如手机、同微波爐),呢段講嘅主要係電離輻射。
電離輻射嘅嚟測量嘅單位係西弗(Sieverts),醫生要擔心嘅係,例如果有人一次性受到的辐射超过2西弗,就有機會即刻過世。
2西弗是什么概念呢?為咗幫大家更容易明白,我哋用每個面積入面嘅香蕉數量嚟表達放射線強度。
之所以揀香蕉,係因為香蕉好富含鉀元素,天然鉀當中大約有0.0117%嘅放射性鉀——鉀40,而鉀40嘅半衰期長達12億5千萬年(地球歲數大約45億年)。
1根香蕉=0.1微西弗,致命強度嘅輻射約兩千萬隻香蕉。每食一根香蕉,就受到約0.1微西弗的辐射,呢個係1西弗的千万分之一。咁就係話,想要一次達到2西弗的致命强度的辐射,要一次性食下去两千万只香蕉。
那么常规的牙科X线檢查,輻射劑量有幾多呢?
拍一張根尖片(小牙片)的辐射剂量等于一次食下10根香蕉。
拍一张小牙片=食10根香蕉
接着呢個行為……
影一次全口三維掃描
=22微西弗
=22张小牙片
=220根香蕉
影一次全口三維掃描=食220根香蕉
影一個細小的視野斷層掃描CBCT
=50微西弗
=50张小牙片
=500根香蕉

影一個細小的視野斷層掃描CBCT=食500根香蕉