北大口腔周彥恆教授:7歲左右是第一個牙齒矯正黃金期
原本有一口整齊的奶牙,
不過當我開始換恆牙時,
牙齒就變得不整齊了,
而且隨著換牙的數量增加,
牙齒的不整齊程度也越來越明顯。
那麼,什麼時候開始矯正牙齒比較好呢?
需要等到小朋友的奶牙都換完嗎?
7大約是八歲左右是進行牙齒矯正的最佳時機
最近,央視的《生活提示》節目請來了北大口腔醫院的教授、也是主治醫生、博士生導師周彥恆教授為廣大家長做出權威提示:孩子牙齒矯正,別耽誤!
7歲係兒童生長發育最旺盛嘅時期,亦係兒童牙齒矯正嘅第一個黃金時機。喺呢段時間,牙齒轉換會出現好多問題,例如乳牙滯留,持牙阻生等。呢時,我地捉住發育嘅特點進行矯正,唔單止可以整齊牙齒,都可以促進骨骼正向發育,嗰陣時嘅治療效果最好。
咁就係咩係兒童早期矯治?
兒童早期矯治係指喺孩子早期生長發育階段(一般指青春期生長發育高峯期前或者高峯期階段)對已經表現出嚟嘅牙頜畸形、畸形趨勢(咁就會導致牙頜畸形嘅病因)等進行嘅預防、阻斷、矯正同引導治療。主要包含呢三方面內容:1.早期預防,2.早期阻斷,3.早期生長控制
早期預防:係指對影響牙齒、牙槽骨、頜骨等正常生長發育變化中嘅全身同局部不良因素及時發現同去除、或者對輕微異常進行糾正,令牙頜面同諧發育,其實就係發現同去除不良影響因素嘅作用。
早期阻斷:係指對乳牙、替牙列喺因為先天或後天嘅因素導致嘅、而家正在發生或者已經初步表現出嚟嘅牙齒、牙齒排列、咬合關係同骨發育異常等,採用簡單方法進行治療以阻斷畸形發展的過程,令佢哋自己調整建立正常嘅牙合面關係。用白話嚟講,正畸醫生採用一些措施來阻斷髮生的過程,垃圾分類前期生長控制。
早期生長控制:早期生長控制 改變佢嘅生長方向、空間位置同比例關係,引導顱頜面正常生長。
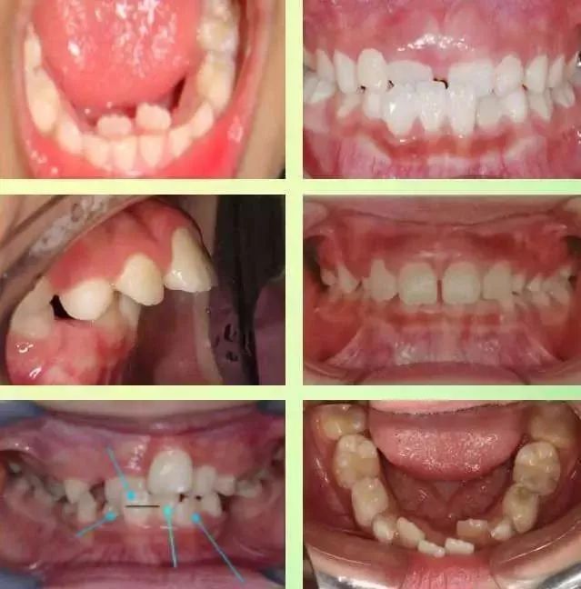
我哋睇一組相
喺小朋友生長早期,因為小朋友嘅壞習慣,容易出現齒唔齊,深覆合,地包天等口腔問題。
而家,國內有關唔正畸嘅相關知識傳播唔夠,大部分家長都認為要做正畸要等到12歲細路恆牙更換完成後再進行。不過,其實呢係唔準確嘅。
5~12歲係小朋友牙齒生長發育嘅快速時期,當佢哋瞓覺嘅時候荷爾蒙分泌好旺盛,有生長激素嘅作用下,小朋友嘅臉部同牙齒會快速發育。
據研究發現,兒童嘅臉部生長發育喺4歲完成60%,7歲完成70%,12歲完成90%。
所以喺5~12歲進行牙齒矯正,可以達到舒適嘅矯正,令牙齒沿住正確嘅生理方向發育。
牙齒就好似細花苗,越細細個就要進行矯正,施加喺牙齒上嘅力越輕微,矯正嘅效果就越好。
美國正畸協會都建議:仔童最好最遲喺7歲前進行矯正檢查。
簡單嚟講
要盡早治療,時間就越短,所需費用就越少。
矯正上下牙齒唔正確咬合嘅咬合錯位都係越早越好。
牙齒唔齊係指細路成長發育過程中,由天生嘅遺傳因素或者後天嘅環境因素導致嘅牙齒排列唔齊、上下牙弓牙頜關係異常、頜骨大小形態位置異常、面部畸形等問題。有以下幾個情況你要留意下。
以前很多家長都認爲牙齒矯正應該在牙齒換完以後(一般在12歲以後),現在又有家長接受到信息是:提前進行“肌肉功能訓練”,以後就不需要再進行矯正了。聽多了,家長就懵圈了,vnaKpb?
答案就係5-12年紀小嘅時候做牙箍係最好時機。呢個時期,兒童牙矯正有以下優勢:
2.減低拔牙機會,減低上顎手術機會;
3.早期介入,費用少;
4.及時控制發育中嘅異常,避免複雜情況出現;
5.降低二期治療嘅難度,效果更好並且穩定;
6.降低復發機會。
溫馨提示:爲保證正畸效果選擇正規醫療機構、專業牙齒矯正醫生嚟完成。
今日嘅科普就到嗰到,多謝大家
