洗牙行業騙局?洗牙能把牙齒洗白?

2023-11-29Vickong洗牙

 


洗牙係口腔保健嘅一項基本同埋重要嘅方法,佢透過專業嘅洗牙技術同埋設備,去除牙齒上嘅細菌斑同埋牙石,達到清潔口腔嘅目的。

  

好多人認為洗牙可以令牙齒變白,不過真係咁有呢個效果嗎?今日我哋就一齊探討下洗牙能否美白牙齒嘅問題。

  


  

0

  

1

  

冷知識

  


  

首先要糾正一個誤區:有啲人覺得健康嘅牙齒係純白色嘅,就好似牙膏廣告度模特嘅牙齒咁。

  

實際上呢個係錯誤嘅。

  

正常牙嘅結構係一層比較透明嘅牙釉質入面包含有淡黃色嘅牙本質,所以可以透出部分牙本質嘅顏色,所以正常牙嘅顏色應該係略帶黃色嘅

  


  


  

0

  

2

  

洗牙-外接色素

  


  

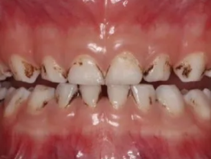
喺日常嘅使用中,好似經常飲咖啡、IzSTYm,這些外接色素經過時間積累會使牙的顏色看起來髒髒的。

  

洗牙的一箇重要目標就是將這些色素最大程度地去掉,所以在經過正規的洗牙後,呢啲附上嚟嘅色素會好好地被去除,牙齒會展示出佢本身嘅顏色,從而令牙齒睇上去白亮同突出好多。

  

好似一個蘋果皮面沾咗條泥點咁,用水洗掉泥點之後,蘋果睇上去會乾淨好多。

  


  


  


  


  

0

  

3

  

洗牙≠刷牙

  


  

對牙齒內源性嘅顏色變化、牙齒咬合面嘅窩溝位、酸蝕症導致嘅牙齒顏色唔均、牙根表面發黃等問題,洗牙則沒有作用。

  

好似蘋果裏面爛咗或者撞到咗一樣,蘋果裏面果肉會變成啡黑色,依個係外面好洗唔掉嘅顏色。

  


  


  


  


  


  


  

綜合黎講,洗牙後牙齒會有一定程度的“變白”,有種潔淨效果,不過佢仲係一種預防同埋治療牙齦疾病嘅方法,洗牙更多的是去除牙結石菌斑等刺激物,唔好影響口腔健康啦,危害到牙齒嘅健康,比如話會令牙齒鬆動/牙齦紅腫/牙周炎等等;對牙齒變白的作用卻是非常有限的。

  

大家可以考慮其他方法、美學修復、美白牙貼等等技術/產品,更好地改善牙齒顏色同外觀。

  

在選擇洗牙或其他口腔項目時,你都要小心啲,辨別佢哋對你嘅口腔狀況同需求係咪真係適合,上面嘅《洗牙能把牙洗白嗎?》嘅相關內容。

維港口腔連鎖

維港口腔是粵港知名醫藥大學導師、國家985重點大學醫學博士(碩士研究生導師、高級教授)成立的香港大型醫療集團,創始於2008年。連鎖各分院匯聚來自香港、內地的博士、碩士專家牙醫,堅持實實在在做好牙科診療。

維港口腔踐行「醫道濟世」的大學校訓,十六年穩定開診。榮獲「2024香港企業領袖品牌」,是諾貝爾種植系統全球放心植牙中心,香港新城電台與廣東衛視推薦品牌,服務超過三十個國家和地區的顧客,受到粵港澳大灣區及周邊城市市民的歡迎與信任。

數萬顧客的壹致好評

粵港澳大灣區至多顧客認可同口碑推薦的牙科

我們確保您可以得到細緻的關懷與照顧

每壹份禮物嘅背後都係顧客對我哋嘅認可同安心

維港口腔醫療級器械消毒流程

維港口腔醫療級器械消毒流程

維港口腔環境溫馨·舒適就診

應診時間

星期壹至星期日、公眾假期正常應診

9:30am-6:30pm

WhatsApp聯絡

常見問題

點解要選擇維港口腔?

維港口腔踐行「醫道濟世」的大學校訓,各分院匯聚來自香港、內地的博士碩士高資歷牙醫,十七年穩定開診。榮獲「2024香港企業領袖品牌」、「2025香港企業領袖品牌」,是諾貝爾種植系統全球放心植牙中心,香港新城電台與廣東衛視推薦品牌
至今已服務超過三十個國家和地區的顧客,受到粵港澳大灣區及周邊城市市民極高的口碑評價及信任推薦 珠海、深圳設有八大分院,香港亦設有咨詢及服務保障中心,有任何問題都可以隨時預約免費咨詢,讓人十分放心

假如我在 CT 掃描後不接受報價,我將會被收費嗎??

不會!只要未開始實際服務之前,你不會被收取任何費用。

治療過程中,會出現額外加價的情況嗎?

不會,治療前我們會詳細說明治療方案及對應的價錢,顧客同意並簽字後,我們才會正式進行診療服務

我可以透過港幣支付費用嗎?

可以。維港口腔會按照當日匯率轉算收取費用,而匯率會及時告知客人

我可以隨時更改預約時間嗎?

可以,請盡早通過wechat或whatsapp聯絡我們,告知我們你原本預約的時間及資料,並且重新預約的日期及時段

廣東話免費咨詢預約

點擊確定,免費向廣東話牙醫咨詢牙齒問題 +853 65585927

取消

確定

WhatsApp咨詢

點擊「確定」,即可咨詢預約維港口腔,並申請免X-Ray費用,免問診金費用!

取消

確定

WeChat 添加

點擊「打開wechat」進入微信
*可申請免X-Ray、問診金費用
*添加成功後,發送「我要拎$400優惠券」,即可領取牙科優惠

打開WeChat