補牙要趁早!小洞不補,大洞喫苦
好多小朋友肯定都試過呢個經歷
牙痛得好難受
通宵唔到眠
心諗緊“下次一定要搵嗰陣睇牙醫”!
但一減痛就唔緊張,
“睇牙醫咁可怕,又貴,阿係之後再講啦……”
結果牙痛冇拖好,反而變本加厲!
牙痛得睡唔著,似乎冇盡頭咁樣!
只能鼓起勇氣終於去補牙!
小洞不補,大洞喫苦
俗話話:小洞不補,大洞喫苦。蛀牙係牙齒健康嘅天敵,好多人由細細個就開始蛀牙,蛀牙唔單止會令牙齒痛而且長期蛀牙會壞爛牙齒,由淺入深嘅壞爛,牙齒裏形成深深嘅牙洞,而依個時候只有即時嘅補牙先可以防止蛀牙進一步發展。
齲齒不一定感覺得到
牙齒分為三層,最外層堅硬嘅牙釉質,冇可能感覺到痛痛嘅;中間嘅牙本質能夠感受到痛楚;最裏邊係敏感嘅牙神經,一受刺激就會痛苦難忍。
細菌嘅深度決定蛀牙嘅程度
圖爲淺齲齒
圖為中度龍齒
圖爲深度齲齒
齲齒不一定看得到
真正厲害嘅齲齒顏色同周圍牙齒嘅原色好接近,大部分係白色、米黃色,一般只有醫生檢查先睇到。所以定期口腔檢查非常重要,醫學上要求成年人每年至少進行一次口腔檢查。
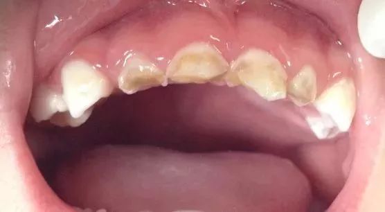
你睇到嘅蛀齒唔係全部
如果運氣好嘅話牙齒入面係咁樣嘅↓↓
運氣唔好嘅話,佢可能係咁嘅↓↓
仲有一種情況“奶瓶齲”,佢裏面長咁樣↓↓
奶瓶齲常見於幼兒的牙齒(圖爲奶瓶齲)
齲齒有可能引發其他問題
齲齒及其並發症可以導致牙髓炎、根尖周炎,會令人痛死,嚴重者仲可以造成間隙感染
圖爲根尖周炎導致的膿腫
齲病導致牙體缺損,因為病人唔敢用痛嘅牙齒咀嚼,形成偏側咀嚼習慣,耐呾面部發展唔對稱
關於小朋友,乳牙齲病導致的乳牙早喪失,隔一隻牙會向缺口位移,引致恆牙錯合
為保持乳牙間隙使用間隙保持器
龍牙嘅治療
01
簡單補牙
徵狀:龜牙,牙齒齜壞;壞咗一啲嘅;BSRIFu,hJglAr。好似呢個咁。
應對嘅方法:簡單補牙即可
02
根管治療+整個牙
徵狀:蛀壞缺損較大;有自發痛,刺激痛;這種說明已達牙神經,神經已經感染發炎,無法挽回,需要做根管治療,然後再整個補上。
應對嘅方法:根管治療+整個牙,前牙根管+普通樹脂,後牙根管+進口樹脂
03
根管治療+打樁+牙冠
徵狀:齲壞、缺損佔牙冠一半以上了。這種情況做完神經治療後,需要打樁做牙冠。
應對嘅方法:根管治療+打樁+牙冠
具體價格看個人牙齒齜壞程度、用咩材料有關。
發現牙蛀越早治療,費用越平。如果發展到神經壞死,牙崩爛緊講就剩牙根。呢種情況大多需要拔牙根,種番顆牙。付出嘅費用肯定會比原本初期報價多幾十倍唔止。
點樣預防蛀牙
1.早晚刷牙、養成飯後漱口的好習慣
2.少食酸性刺激嘅食物,瞓前唔食零食
3.少食糖分高嘅食物,好似糖、巧克力等等
4.唔好食太多太硬嘅食物,免得牙齒磨損
5.經常參加體育鍛煉,定期檢查口腔
6.平時飲食應多攝入富含鈣、無機鹽等食物,盡可能食用高纖維粗糙食物。
最後提醒大家:只要發現齲洞,無論大小、深淺、部位一定要及時修補。因為,齲齒不會消失,只會越來越嚴重。
