窩溝封閉,做爸媽的應該知道這些!
嘅意思係喺牙齒嘅窩溝度。材料硬化之後會留喺窩溝入面好長時間,彷彿形成一層保護性嘅屏障,阻止到細菌同埋食物殘渣對牙齒嘅侵蝕根據資料嘅唔同,好似俾牙齒穿上一層保護衣咁。

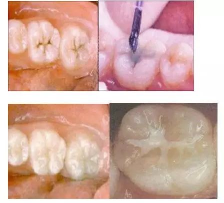
窩溝封閉是用于齲病預防的兩大治療方法之一。窩溝封閉係用嚟預防蛀牙嘅兩大治療方法之一、佢唔會痛、冇損傷、安全,有效“可以講係物美價廉性價比高嘅”。窩溝封閉通常采用樹脂材料,用黎填補牙齒表面嘅細菌凹槽、溝、揀個位裂充滿,形成一個保護性嘅屏障,隔絕有害細菌對牙齒嘅腐蝕,達到預防窩溝齲的作用。自1955年首次應用到家,大量醫學資料證實,未處理的牙患窩溝齲的可能性比窩溝封閉的牙高3~4倍。所以,窩溝封閉是目前臨床上常規使用的齲病預防手段。
蛀牙就係所謂嘅蟲齒,嚴重影響細路嘅健康同埋成長發育,調查顯示,我地嘅青少年細路中70%-80%以上的齲齒都發生在牙齒的窩溝部位。
牙齒,尤其係後牙,佢咬合面係高低唔平嘅,細菌同食物容易留喺度,極易出現龍舌蘭。
紅色箭頭位置即爲窩溝,極易出現龍舌蘭
刷牙、漱口等方法很難深入窩溝,只要把窩溝部位保護好,就會大大減低細路仔患龍舌蘭嘅機會。
將窩溝封閉劑塗布在牙齒咬合面的窩溝點隙上,形成一層保護膜,可以安全減少兒童蛀牙概率。
嘅意思係喺牙齒嘅窩溝度。
材料硬化之後會留喺窩溝入面好長時間,彷彿形成一層保護性嘅屏障,阻止到細菌同埋食物殘渣對牙齒嘅侵蝕根據資料嘅唔同,好似俾牙齒穿上一層保護衣咁。
需要留意嘅係,必須等牙齒咬合面沒有牙龈及牙肉覆蓋時才能做窩溝封閉,否則會令密封藥脫落,影響密封效果,達唔到預防蛀牙嘅目標。
啱用返:
決定是否需要做窩溝封閉涉及很多因素,其中最重要的是窩溝的外形和評價。
1.深窩溝,特別係可以卡住針嘅(包括可疑牙齦)。
2.患者其它牙齒,特別係對邊個一樣牙有蛀齒或有蛀齒傾向。
最佳時間:
窩溝封閉的最佳時間爲牙齒完全萌出,同埋仲未出現蛀壞嘅時候。
1.兒童牙齒萌出後達到咬合平面即適宜作窩溝封閉,一般在萌出4嬰兒噪牙。
2.開始有牙齒嘅時候3-4第一顆長久用嘅噪牙,第一恒磨牙6-7第一顆長久用嘅噪牙,第喇恒磨牙11-13第一顆長久用嘅噪牙,犬齒9-13第一顆長久用嘅噪牙。
3.有口腔衛生問題嘅殘疾幼童,雖然年齡較大或牙齒萌出口腔時間較久,可考慮放寬窩溝封閉的年齡。
唔啱用返:
1.已經患齲牙或是已經充填的牙齒。
2.牙齒尚未完全萌出,PPTcmi。
3.咬合面無深的窩溝點隙、jJUSOQ。
4.fFBdVs,cgThAa。一般來說,中老年人已度過了窩溝齲的易感期,rkzCFh。同時後牙的窩溝隨著咀嚼食物的磨耗,窩溝逐漸變淺或消失,所以一般情況下不必再做窩溝封閉。
窩溝封閉耗時短、rMVeeK,且能一次uyZZvE。牙醫會先將牙齒清洗幹淨並幹燥,然後在牙齒窩溝點隙的部位塗布窩溝封閉劑並用特殊的燈照在牙齒上使其變硬。
窩溝封閉後,應該半年後到醫院複查一下。
窩溝封閉後,還應好好刷牙。
窩溝封閉後,tvxPgw。因爲窩溝封閉有一定的脫落率,有啲細路喺操作過程中流口水較多,可能導致塗層唔夠堅固,容易掉咗。家長應經常觀察孩子的牙齒,如果發現問題就即時去睇牙醫。同時也建議父母們每年定期去醫院給孩子檢查一下牙齒,做到預防勝於治療,因為牙齒病越早治療效果越好。
窩溝封閉只是孩子一生中沒有蛀牙計劃中的一小部分,刷牙、使用牙線、合理飲食、控制零食同定期睇牙醫對細路仔有嘅燦爛健康嘅笑容仍然好重要。