睇牙仲要拍X光片,醫生唔係想多賺你錢咋!
好多人都係咁感覺嘅:睇大病影相我仲識得明,睇顆牙齒都要影咩?冇必要啫,而且有輻射嘅,對身體唔好嘅,醫生你係唔係想多攞返啲錢啊?
檢查牙齒為什麼要影像檢查?
先放幾張圖片,令大家了解更多,若不進行影像檢查!
從下圖可以知道除了外層嘅一點牙釉質,牙齒裏面出咗問題,肉眼係睇唔到嘅。牙醫唔係有透視眼。所以,為咗全面咁了解牙齒,拍張牙片仲係好有必要嘅。
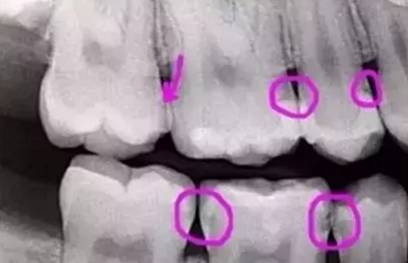
圈出嚟嘅地方或多或少都有啲蛀牙,不過啲蛀牙唔係全部都見得到。呢啲蛀牙都仲係好淺,最多食野嗰陣卡住啲牙齒,個牙齒仲有啲對冷水敏感。
暗啲位講明龍齒巳經攰咗好勁啦!
下面個係淨係唔中唔嚟:

齒根係埋喺齒槽骨入邊嘅,醫生冇透視眼,為咗了解受損牙齒嘅牙根形態同方向、帶住、長度同埋根尖附近有冇病變或者大小,或者懷疑有啲肉眼睇唔到嘅牙科問題,都會建議患者去牙科X照,甚至,口腔CT嚟全面性地確認問題,去制定啱啱嘅治療計劃。
拍牙片嘅輻射劑量有幾大?
人體接觸X线有一定嘅潛在損害,依照而家國際放射防護委員會嘅推薦,一般市民輻射限值係每人每年唔可以超過由醫療診斷與治療的輻射量所佔比例14%左右。
美國牙醫協會也提供數據,在醫療輻射中,来源于牙科的辐射仅占到RAxPTp2.5%。關於牙科輻射量,兒童放射學會提供更為清晰的對比:拍一張曲面平展嘅輻射量,相当于3天嘅自然環境輻射量;4张牙合翼片的辐射相当于RAxPTp0.6天嘅自然環境輻射量。總之,拍片的辐射量是较小,大家唔洗擔心。
牙膜对于口腔疾病的诊断尤为重要,而且輻射量好細微,所以只要有需要就可以拍片診斷,大家唔好排斥拍牙片檢查。
懷孕婦女同細路可以影牙片嗎?
在某些口腔疾病治疗的紧急状况下,孕婦有時需要喺寶寶出世之前影牙片,因為無治療嘅牙科感染有機會構成胎兒嘅潛在威脅。
一般唔建議孕婦喺懷孕初期,因為胎兒相對普通人更嬌嫩。如有需要X照拍摄时,可以穿上防護服(鉛衣)以防止放射線對孕婦及胎兒的傷害。只要不是直接對腹部或相近部位接受高劑量輻射,對胎兒的影響幾乎可以忽略不計,準媽媽們不必太擔心。此外,儿童在时都会采用低剂量、以最優化嘅劑量達到臨床要求,同時進行必要嘅防護,大人哋都唔使再困擾於細路嘅輻射傷害。
Tips
牙膜(牙科X照)有助于牙医直接观察到普通口腔检查难以发现的牙齿和牙周组织问题,是早发现早治疗口腔问题的关键。
希望大家一定要认识到牙膜的重要性,拍牌醫生唔係為咗訛你錢,拍牌冇咁大嘅風險,大家唔洗擔心!
今日你刷牙未呀!