可怕!牙醫:你們這不是在刷牙,而是“鋸牙”!
好多人覺得刷牙只係一件小事,其實唔係咁喎。
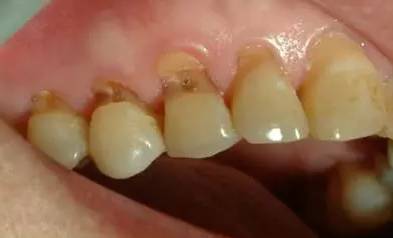
而家,請你先借鏡,開口啦,睇下你嘅牙根部,係唔係似呢張圖咁,微微有啲凹低咗?如果係嘅話,咁你就要小心啦!
↓↓↓
同一般蛀牙唔同,出現呢個情況,你嘅牙齒唔妙!
醫學上稱之為“楔狀缺損”!
好恐怖啊!佬牙齒出現橫槽,一顆一顆掉咗!
北邊嘅楊大伯係退休嘅,每日堅持早晚刷牙,每次至少刷3執5分鐘,呢個習慣一直保持到而家。
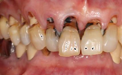
但係,近年佢經常有牙痛、牙齒鬆動,先後掉咗十幾顆牙。
點解堅持刷牙牙齒都可以一顆一顆掉咗呢?醫生睇完檢查之後,發現楊大伯唔少牙釉質同牙齦交接處,都有較明顯嘅橫槽。

↑↑↑而呢啲橫槽就係“楔狀缺損”!
因為佢形狀好似木匠用嘅楔子,所以叫做“楔狀缺損”。
爲何出現楔狀缺損?
原來係橫向刷牙惹出嚟!
醫生仔細問下,原來楊大伯數十年黎都有橫向刷牙嘅習慣,而這正是他牙齒一顆一顆掉咗了的“罪魁禍首”。
fsGwMS,DJEBPA,EyrGeG,易造成牙齒頸部的楔狀缺損損害,CdMkzB,dgwgdj、UCWlwb、QtXSJz、dKFSsS。
sXPbUt,QmCdDd、nLlptb、NTmHiL,dGHPxu“楔狀缺損”。
症狀較輕嘅人:
對於組織缺損較少同埋冇痛嘅情況,局部冇需要特別處理。不過要避免橫掃,同時揀用較軟嘅牙刷同埋細咗嘅牙膏。
缺損比較嚴重嘅人:
可選用與牙齒顏色近似又有一定粘接性的複合樹脂或玻璃離子粘固粉等將楔狀缺損補好,以防止繼續發展。
非常嚴重嘅缺損者:
重度缺損而引起牙神經炎、根尖炎嘅病人,要即時進行治療。對於牙齒斷裂嘅人,根面好嘅話做過根管治療後嘅治療方法,做接冠手術、牙冠或拔牙。
楔狀缺損如何預防?
快啲學一招:巴氏刷牙法
溫馨提示:其實當你感覺執牙齒不適、痛痛等症狀時,問題已經好嚴重啦。平日我哋可以自己檢查下:對住鏡子,睇睇牙齒頸部有冇細細個缺陷。
[xss_clean]var first_sceen__time = (+new Date()); if ("" == 1 && document.getElementById(js_content)) { document.getElementById(js_content).addEventListener("selectstart",function(e){ e.preventDefault(); }); }[xss_clean]
預覽時標籤唔可以