一箇真實案例告訴你,飲料是如何毀掉我們牙齒的!
喺日常生活中,哪啲行為對牙齒嘅破壞最大?
一個好多人都唔識意識到嘅盲點:碳酸飲料。
這個是牙齒泡在碳酸飲料裏一年的變化
呢啲唔同種類嘅飲料對牙齒嘅侵蝕指數超級高
唔信嘅話,一個真實案例同你講,飲料點樣毀掉我地嘅牙齒。
(前方高能預警,唔適合嘅人請繞道):
發生咁樣嘅悲劇,只係源於一個平常嘅生活細節,這些人都非常愛喝碳酸飲料。
咁嗰陣呢,問題嚟啦。
一杯汽水哋,怎麼會咁嗰陣呢可怕呢?
因為,大部份飲品嘅PH值喺2.2 - 4.9之間,而牙齒表面嘅琺瑯質溶解臨界PH值係5.5!如果你嗰杯飲品唔離口,就等於係將牙齒浸喺呢種液體度,慢慢溶解!
喺最極端嘅情況底下
佢甚至可以毀掉你整口牙齒
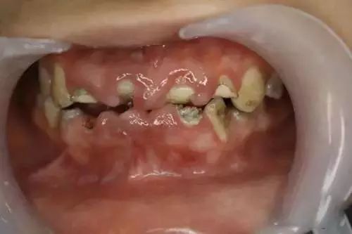
如下圖咁樣(前方再次高能預警):
呢個係一個嚟自美國嘅真實案例。呢位好鍾意飲可樂嘅男仔年紀還青青就失咗所有嘅牙齒
喺醫學界,呢個情況叫做“酸蝕症”,簡單嚟講就係牙齒長期同酸性物質接觸導致嘅牙齒硬組織溶解失去。
尤其重要嘅係:對於兒童嚟講,飲料嘅危害更大!因為剛萌出的牙齒尚未鈣化完全,更容易俾酸性物質溶解侵蝕。再支邊,小朋友仲特別鍾意飲甜甜嘅飲料,同時又未學會正確刷牙技巧。
所以喺呢度提醒各位家長:
你就令你個仔女儘量少啱飲料!
你就令你個仔女儘量少啱飲料!
你就令你個仔女儘量少啱飲料!
(重要嘅嘢要講三次)
咁嗰陣呢問題又來了。糖水唔可以飲啦,果汁總之應該得嘅吧?
願望係好嘅,答案就係冇優惠嘅。雖然呢啲飲料冇碳酸,不過仲係含好多糖分,呢啲糖分遇到口腔嘅細菌,亦都會發酵產酸,然後導致牙釉質脫礦溶解。
人生真係無處唔糾結啊。想保護牙齒架,又忍唔住口腹之慾,點算好?其實只要掌握正確方法,飲啲飲料都冇問題。
所以,點樣正確飲飲料,絕對係門技術活。
1.如果要飲飲料,盡量一次飲完。飲料留係口腔入面太耐,等於係讓牙齒浸泡係飲料入面。可以用吸管,減少牙齒暴露係酸性環境入面嘅時間。
2.飲曬飲品嘅時候記得漱口。但係唔好即刻刷牙!因為剛喝完飲料口腔內PH酸度較低,牙釉質會變軟,即刻刷牙可能會磨損牙面,半個鍾後先可以刷牙。
3.用含氟牙膏。氟可以同牙釉質發生反應,減少牙釉質喺酸性環境下嘅溶解,令牙齒變得堅固。另外,氟仲可以幹擾糖嘅發酵,減少糖被代謝嚟產生酸,有助於阻止牙酸蝕症的發展。

4.定期塗氟。對於仲未識刷牙嘅細路黎講,塗氟係會令牙齒更加堅固嘅最好選擇。同時仲可以加強牙齒嘅鈣化,增強抗蝕性。