洗完牙,爲什麼醫生說牙結石在牙齦裏面?讓我做齦下刮治?如果放著不管會引起牙周炎導致牙齒鬆動脫落?有這麼危險嗎?
小編提醒你:齦下結石不管他,還真有這麼危險,它會像隱形殺手一樣默默地殘害你的牙齒。
剛開始形成嘅牙結石係乳白色嘅軟垢,用牙刷或者牙線就可以清除走,但是當它完全形成後就沒那麼容易對付了。呢個時候,牙結石就喺你牙齒同牙齦嘅交界處沈積同埋繁衍緊,面積越來越大,亦越來越厚、好硬。牙結石對口腔嚟講就係一種異物,它會不斷的壓迫牙齦並刺激牙周組織,咁樣一黎牙結石就由牙冠向下擴散,牙齦就會一日一日縮返,牙槽骨亦會一日一日吸收,好耐之後,牙齒逐漸松動,它便見縫插針,攻到牙根咗。
牙龈底下嘅牙結石肉眼睇唔到,一般係啡色或者黑色,黏著更堅固,而且牙結石易吸附細菌/毒素,再加上佢自己對牙周組織嘅刺激,會令牙龈內側潰瘍,唔易愈合,導致牙龈出血,牙周疾病加重,口臭,牙周袋,牙齒鬆動甚至脫落等。
最壞嘅就係,牙周病同齲齒唔同,齲齒可以透過修補嚟改善,不過牙槽骨一旦吸收就好難再生嘞。例如:牙槽骨就好似土壤,牙齒就係樹,一旦土壤流失咗,咁樹木都好難生存嘅。
迄今爲止,好似除咗洗牙,世上尚無任何辦法能將牙齒上的牙垢和堅好硬的牙結石除掉。我哋一般嘅洗牙只係處理牙齦上嘅結石,牙齦下面有牙結石嘅話,就需要進行牙周孑治。
一般——深!
深度洗牙就是將工具深入牙齦乳頭下颳去牙根表面感染的病變牙骨質,以及牙周袋內的牙結石和菌斑,刮得乾淨唔乾淨,都係體現牙醫。
另外,齦上洗牙唔需要打麻藥嘅,因為唔痛,最多都可能酸啲。而進行牙齦下深度的洗牙時,考慮到體驗嘅舒適度,一般會喺麻醉下進行。
最後,牙齦下嘅牙結石處理完之後,睇牙周組織原本嘅病況有冇轉好,如果冇恢復正常,就要進行下一步嘅治療。如果恢復正常咗,就要定期檢查,潔治就得啦。

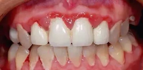
係唔係大家會感覺好惡心,好難以置信,睇上去ABCD呢四個牙全部都唔似咁汙糟咋?!
大家覺得A、B、C、D呢四顆牙齒有冇問題呢?有軟垢、齦緣發紅,有牙齦炎症。咁如果我講底面嘅圖片就係呢四顆牙其中一顆,大家猜猜係邊一顆牙呢?(圖片勁彩,膽細慎睇)
其實呢就係牙床底下嘅牙石,汙垢喺我地牙根嘅表面附著,係牙齦下面嘅牙結石。對於嗰啲牙結石,一般洗牙就無能為力,醫生就需要用齦下刮治術來處理。
話咗嗰啲,大家一定好好奇,究竟係邊顆牙會咁嚴重,仲有喎,噹噹噹當,
問題揭曉:呢個係B號牙齒。
有猜對嘅冇?
[xss_clean]var first_sceen__time = (+new Date()); if ("" == 1 && document.getElementById(js_content)) { document.getElementById(js_content).addEventListener("selectstart",function(e){ e.preventDefault(); }); }[xss_clean]
預覽時標籤唔可以