解密:咁黎睇就係揭秘,究竟點解會咁啫事?
平時家長們可能忙於工作,比較少關注孩子身上嘅一啲細小嘅變化,突然有一日媽咪睇到孩子牙齒長咗啲黑斑唔免驚一驚,呢個點解嚟架?孩子食咗啲唔健康嘅野,導致牙齒長咗黑斑?
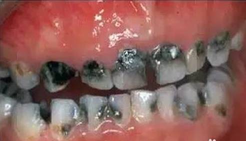
一般牙齒變黑有啲乜嘢情況3種情況:
01
外源性染色
這種情況指牙齒正常情況下的色素附著,以藥物原因多見。比如孩子脾胃唔好,胃酸倒流,酸蝕啲牙釉質,導致牙釉質脫鈣,容易附著色素。還有,孩子長期喝中藥,中藥顏色深,亦可造成色素附著。但光滑健康的牙齒不易附著顏色。這種著色沒有危害,只是影響美觀。
02
牙齒變色
此種情況以齲齒多見,伴隨牙體缺損,牙齒硬組織的崩脫或形成牙洞。由於人們口腔內有大量細菌,孩子又都愛喫糖,SaJtHk,酸破壞牙齒嘅牙釉質,形成蛀齒,導致鈣流失,損壞牙齒、上面有色斑,進而形成牙洞,同時有變色,呢就係蛀齒形成嘅過程。
03
牙釉質發育唔好
這種情況乳牙和恆牙都有可能,係牙釉質唔完整、平滑,上面有條紋或者洞,導致牙齒有變色及上面有色斑可能。常見嘅典型例子係天津市啲特定地區嘅地下水含氟量太高“氟牙症”。另外,以前常見嘅“四環素牙”而家已經好少見,呢個係因為純藥物所導致。
齲齒,俗稱蟲牙,從乳牙一萌出就有發生齲齒的可能,係小朋友牙醫方面最常見嘅一種。
家長如何照顧齲齒寶寶呢?
1、仔仔飲完奶,一定要餵水。
家長特別容易忽略寶寶的齲齒,尤其係幼兒門診度最常見。如果餵養方法唔當“奶瓶蛀牙”,喺飲夜奶嘅小朋友中最普遍。提醒屋企爸媽,無論幾時,只要仔仔飲完奶,家長一定要餵仔仔水,係洗滌口腔嘅作用。日常生活中,家長容易忽略“奶瓶蛀牙”當嗰陣牙變色,從而忽略寶寶的齲齒,拖延咗治療嘅時機。
2、對細路嘅口腔護理,應該盡早開始。
要令細路養成好嘅口腔衛生習慣,由細路3個月開始家長就應該有定時咁做口腔清潔護理,使細路養成好嘅口腔衛生習慣,咁樣細路長牙後對口腔清潔就唔會有抗拒心理。
3、6喺一歲前細路刷牙一定要有家長幫手,3一歲前要由家長全權負責。
而家細細個啲寶寶嘅運動肌肉冇咁細緻,佢地自己刷牙嘅時候經常只刷到佢哋可以到達嘅地方,但係刷唔到嘅地方都有好多細菌附著住。呢個時候,家長要幫助仔女刷牙,唔止幫佢哋搞乾淨牙面,仲要搞乾淨牙齦同口腔黏膜,記住唔好用太大嗰陣,盡量溫柔啲。

當父母發現仔女有黑斑牙之後,要教導仔女培養早晚刷牙嘅好習慣,飯後都要漱口,最好少食太多甜同埋深色嘅食物。如果只係簡單嘅色素沈澱,經過一段時間嘅刷牙同漱口可以改善,但係如果係頑固嘅色素嘅話就要去相關口腔科清洗。如果係因為蛀壞而導致嘅就要即刻去睇醫生,找到問題嘅原因,及時治療,避免問題擴大化,對細路嘅牙齒健康唔利。