牙齒好爛喇,應該拔定補?
如果有蛀牙,好多朋友都會覺得要快啲拔牙,不過真係咁過?牙齒好爛喇!究竟係拔好定係補好啊?

通常嚟講,牙醫唔會輕易拔牙嘅!即使你牙齒痛得非常厲害,都要睇下你蛀牙嘅程度!一般嚟講,輕度蛀牙無傷到牙神經,牙醫會用樹脂填充來補牙。如果要抽牙神經,咁就係話明你嚴重蛀牙,需要進行根管治療同埋戴個牙套保護。
想一下啦,真係假牙可以同健康牙齒比嗎?假牙再好囉,食野感覺有啲唔舒服。除非你嘅牙齒全部爛哂,冇得補返,嗰陣醫生先會建議你拔牙。其實最貴係咩鑲牙,每顆假牙都係金錢!
噉唔好補蛀牙先慳得錢!因為補牙一次搞掂蛀牙啫,wgfwGY!而家啱啱嚟講,補牙用樹脂材料性價比最高。
有朋友反應話,補咗牙一陣就掉走,原來係你後期唔係保養好啦,定係你去咗唔係正規嘅診所。
如果你有輕微蛀牙,一般樹脂材料補牙大約幾百元嘅費用;
如果需要進行根管治療、紅外線治療器輔助治療的話,價錢係喺1500蚊左右。
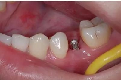
至於鑲牙就更貴啦!植牙一粒都差唔多一萬啦!
所以,小愛勸大家,牙齒一旦出現蛀牙,係咪就係有黑色漏洞,即刻去補牙,預防將來問題!因為越拖越嚴重,越痛越貴!
