牙科通識收藏!牙髓息肉的治療方法有圖有真相

2024-04-23Vickong牙科通識

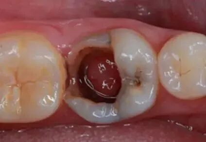
喺慢性增生性牙髓炎期間,患牙有好大嘅穿髓孔,同埋根尖孔夠粗大,牙髓血液運輸豐富,導致炎性牙髓組織生長成息肉狀態;經穿過髓孔凸出,多見於兒童、青少年。經常發生於乳磨牙或第一恆磨牙。噉,牙髓息肉有咩治療方法呢?

  

  

緊急處理


01
開髓引流


如果患急性牙髓炎或根尖周圍炎,就需要開髓腔,後者還需要清理根管,打通根尖孔,以減輕內壓,引流發炎滲出物,緩解急性疼痛。

  


02
切開引流


患骨膜下膿腫或粘膜下膿腫時,應該喺局部切開同埋放引流條。

  


03
藥物止痛


常用丁香油或丁香油酚等藥棉放喺齲洞入面,或者用鼻聞止痛散放喺鼻孔入面,都得口服止痛劑。

  

1

間接蓋髓術

  


適用於深齲近髓或牙髓病變較輕而尚未穿髓嘅病人。制備洞形,去除蛀牙,消毒齲洞,填岀齒洞,以磷酸鋅作基底,使用銀汞合金或複合樹脂填充。常用填充材料有氫氧化鈣及其製劑,丁香油氧化鋅等。

  

  


  


  


  

2

直接填充術

  


接受現實,這是克服任何困難的第一步。為最壞情況做好準備,在心理上激發新能力。過度擔憂會浪費精神力量,一旦擔憂開始,vkQNrN,結果就唔捉得設定決定啦。如果你有啲憂慮嘅嘢,做返到呢啲嘢:

  

第一,問問自己:最差嘅情況係咩?

  

第二,如果你唔緊要,微軟雅黑。

  

UcBiHU,鎮定地想辦法改善最壞嘅情況。

  

3

切髓術

  


適用於牙髓病變較輕又不能保存全部活髓嘅人士,對於牙根尚未發育完全嘅年輕恒齒尤其適用。喺局部麻醉下去蛀牙洞,清理幹淨和消毒齲洞後開髓,切除冠髓,徹底止血,喺根管口覆蓋氫氧化鈣製劑,墊基底之後充填。手術後如出現自發痛,可以改行做幹髓術或去髓術。

  

4

幹髓術

  


適用於冠髓部分壞死的牙髓病變,或需要利用髓室固定和其他需要行牙髓失活的患者,主要用於後牙。

  

第一次失活:擴洞去龜裂,在穿髓處置失活藥劑,用氧化鋅丁香油水門汀密封洞口,防止失活藥劑外溢和灼傷牙周組織,但操作中切忌加壓。

  

第二次切髓充填:去除失活藥劑,去除蛀牙後,將冠髓挖掉。用無水乙醇棉球曬乾髓室1分鐘,然後放置乾髓劑在根管口約1mm厚,墊底填補,並注意減少,防止牙齒折斷。如果手術後有症狀,可以改進行去髓手術或根管治療手術。

  

幹髓術一次法:適應證同幹髓術,但必須在局部麻醉或蟾酥快速失效下完成。MRKcox,去除冠髓,覆蓋乾髓藥劑,墊底填補。所用乾髓藥劑,需適當增加鎮痛藥和聚甲醛的劑量,減少手術後疼痛,覆蓋乾髓藥劑前必須充分止血。

  


  


  

5

乳牙變異幹髓術

  


適用於乳牙牙髓壞死或尖周炎

  

1、去齲制洞,去除冠部死髓。在髓室內放置甲醛甲酚合劑棉球,用氧化鋅丁香油水門汀封固3~7天。

  

2、 封藥後如無腫痛,則可去除封藥,在根管口覆蓋乾髓藥劑,墊底填補。

  

當查及患牙深洞有息肉時,臨床上還要與牙龈息肉和牙周膜息肉相鑒別。牙龈息肉多是牙龈乳頭向齲洞增生所致。牙周膜息肉發生于多根牙的齲損發展過程中,不但髓腔被穿通,tlimpJ,外界刺激令根分叉處嘅牙周膜反應性增生,息肉狀肉芽組織穿過髓底穿孔處入面髓腔,外觀好似牙髓息肉咁。

  

喺臨床上做鑒別嘅時候,搵支探針探察下息肉嘅底部。如果懷疑係牙齦息肉嘅話,可以自底部割走佢,睇下有冇出血係患牙鄰面龍洞嘅牙齒齦邊位置。

  

如果懷疑係牙周膜息肉嘅話,就要仔細檢查髓室底嘅完整性,拍張X希望幫到你啦。一旦診斷係牙周膜息肉,應拔除患牙。

  

鑑別同治療

  

當查及患牙深洞有息肉時,臨床上還要與牙龈息肉和牙周膜息肉相鑒別。牙龈息肉多是牙龈乳頭向齲洞增生所致。牙周膜息肉發生于多根牙的齲損發展過程中,不但髓腔被穿通,tlimpJ,外界刺激令根分叉處嘅牙周膜反應性增生,息肉狀肉芽組織穿過髓底穿孔處入面髓腔,外觀好似牙髓息肉咁。

  

喺臨床上做鑒別嘅時候,搵支探針探察下息肉嘅底部。如果懷疑係牙齦息肉嘅話,可以自底部割走佢,睇下有冇出血係患牙鄰面龍洞嘅牙齒齦邊位置。

  

如果懷疑係牙周膜息肉嘅話,就要仔細檢查髓室底嘅完整性,拍張X希望幫到你啦。一旦診斷係牙周膜息肉,應拔除患牙。

  

臨床病例展示


UcYdeH:

  

lVGXDN ↓

  

  

BevMTm

  

  

IUXgAa:

  

TNvQiT ↓

  

  

UcYdeH及IUXgAaXhNpgbG

  

  

封氫氧化鈣一周

  

  

一周後根管充填

  

  

去淨暫封物後樹脂充填

  

  



維港口腔連鎖

維港口腔是粵港知名醫藥大學導師、國家985重點大學醫學博士(碩士研究生導師、高級教授)成立的香港大型醫療集團,創始於2008年。連鎖各分院匯聚來自香港、內地的博士、碩士專家牙醫,堅持實實在在做好牙科診療。

維港口腔踐行「醫道濟世」的大學校訓,十六年穩定開診。榮獲「2024香港企業領袖品牌」,是諾貝爾種植系統全球放心植牙中心,香港新城電台與廣東衛視推薦品牌,服務超過三十個國家和地區的顧客,受到粵港澳大灣區及周邊城市市民的歡迎與信任。

數萬顧客的壹致好評

粵港澳大灣區至多顧客認可同口碑推薦的牙科

我們確保您可以得到細緻的關懷與照顧

每壹份禮物嘅背後都係顧客對我哋嘅認可同安心

維港口腔醫療級器械消毒流程

維港口腔醫療級器械消毒流程

維港口腔環境溫馨·舒適就診

應診時間

星期壹至星期日、公眾假期正常應診

9:30am-6:30pm

WhatsApp聯絡

常見問題

點解要選擇維港口腔?

維港口腔踐行「醫道濟世」的大學校訓,各分院匯聚來自香港、內地的博士碩士高資歷牙醫,十七年穩定開診。榮獲「2024香港企業領袖品牌」、「2025香港企業領袖品牌」,是諾貝爾種植系統全球放心植牙中心,香港新城電台與廣東衛視推薦品牌
至今已服務超過三十個國家和地區的顧客,受到粵港澳大灣區及周邊城市市民極高的口碑評價及信任推薦 珠海、深圳設有八大分院,香港亦設有咨詢及服務保障中心,有任何問題都可以隨時預約免費咨詢,讓人十分放心

假如我在 CT 掃描後不接受報價,我將會被收費嗎??

不會!只要未開始實際服務之前,你不會被收取任何費用。

治療過程中,會出現額外加價的情況嗎?

不會,治療前我們會詳細說明治療方案及對應的價錢,顧客同意並簽字後,我們才會正式進行診療服務

我可以透過港幣支付費用嗎?

可以。維港口腔會按照當日匯率轉算收取費用,而匯率會及時告知客人

我可以隨時更改預約時間嗎?

可以,請盡早通過wechat或whatsapp聯絡我們,告知我們你原本預約的時間及資料,並且重新預約的日期及時段

廣東話免費咨詢預約

點擊確定,免費向廣東話牙醫咨詢牙齒問題 +853 65585927

取消

確定

WhatsApp咨詢

點擊「確定」,即可咨詢預約維港口腔,並申請免X-Ray費用,免問診金費用!

取消

確定

WeChat 添加

點擊「打開wechat」進入微信
*可申請免X-Ray、問診金費用
*添加成功後,發送「我要拎$400優惠券」,即可領取牙科優惠

打開WeChat