牙科通識牙齒矯正容易有蛀牙嗎?

2024-05-09Vickong牙科通識

  


  

  


有啲矯正牙齒嘅朋友,矯正之前牙齒好好,但矯正期間發現有啲牙齒有蛀壞嘅趨勢,呢到點解會咁?係咪同牙齒矯正有關?如果要防止牙齒蛀壞嘅情況?今日我哋就嚟詳細睇下,牙齒矯正同蛀牙之間嘅關係。

  

一、點解會有“牙齒矯正容易有蛀牙“”這一說法?

  

其實矯正本身唔會引致牙齒蛀壞,但現實情況中,矯正是會在一定程度上增加牙齒患齲的風險。呢啲都係嚟自矯正中用到嘅矯治器增加咗清潔嘅難度。

  

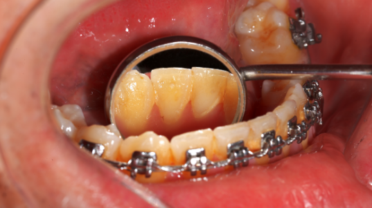
··托槽矯治器

  

呢個主要係因為矯治器需要黏喺牙齒上,同埋裝有弓絲,會形成一些清潔死角,令病人刷牙多咗啲不便。所以,當矯正牙齒時病人需要認真使用各種刷牙工具同埋延長刷牙時間,減少清潔死角,保持良好嘅口腔衛生狀態,降低易齒齲機會。

  

唔然牙面會有食物殘渣,會漸漸形成細菌結石、令牙齒脫礦同埋齒齲。

  

··隱形矯治器

  

當一些清潔盲區殘留有食物殘渣,或者牙齒清潔唔係好認真嘅時候本身都易產生有害嘅物質傷害牙齒,日常我們可能喝口水會沖洗掉一些,而隱形牙套要長時間覆蓋喺牙齒上面,喺牙套度就難以隨便清理走嘅,比較之下,也會增加一些齲壞的可能性。

  

所以,喺矯正嘅時候,我哋要認真細心做好口腔清潔工作,保持良好嘅口腔衛生狀態,降低或者避免出現牙齒蛀壞嘅情況。

  

二、正畸嘅時候點樣保持口腔衛生?

  

1、好緊要正確刷牙

  

每日最少刷牙兩次,每次3分鐘以上,建議每次喫完飯都進行刷牙。

  

可揀專門嘅整牙牙刷,這類牙刷比日常的牙刷頭都要小一點,能夠清理到一些邊邊角角的地方。用心關注託槽周圍、特別係牙床邊緣要仔細潔淨,保持牙齒同矯正器周圍冇軟垢殘留。

  

2、善用輔助清潔工具

  

特別係託槽整牙嘅人,託槽同弓絲形成嘅難位唔容易被牙刷潔淨,需要用衝牙器幫手/牙縫刷/牙線等進行清潔。

  

但需要記住嘅係,呢啲工具都唔可以代替刷牙。

  

清潔完畢之後,我哋仲可以用含氟漱口水漱口,幫助消毒同潔牙。

  

3、養成每日觀察牙齒嘅習慣,發現問題之後即時同牙醫溝通。

  


  

牙齒矯正係重新排列牙齒、重建口腔功能同牙齒咬合關係嘅過程,這是一箇漫長的過程,需要有耐心同專注對待。

  

如果每一位患者都能保持良好的口腔清潔習慣,好好善用呢啲輔助工具,你會發現,收穫一口美觀整齊牙齒的同時,同時保持口腔健康狀態up++!

  


維港口腔連鎖

維港口腔是粵港知名醫藥大學導師、國家985重點大學醫學博士(碩士研究生導師、高級教授)成立的香港大型醫療集團,創始於2008年。連鎖各分院匯聚來自香港、內地的博士、碩士專家牙醫,堅持實實在在做好牙科診療。

維港口腔踐行「醫道濟世」的大學校訓,十六年穩定開診。榮獲「2024香港企業領袖品牌」,是諾貝爾種植系統全球放心植牙中心,香港新城電台與廣東衛視推薦品牌,服務超過三十個國家和地區的顧客,受到粵港澳大灣區及周邊城市市民的歡迎與信任。

數萬顧客的壹致好評

粵港澳大灣區至多顧客認可同口碑推薦的牙科

我們確保您可以得到細緻的關懷與照顧

每壹份禮物嘅背後都係顧客對我哋嘅認可同安心

維港口腔醫療級器械消毒流程

維港口腔醫療級器械消毒流程

維港口腔環境溫馨·舒適就診

應診時間

星期壹至星期日、公眾假期正常應診

9:30am-6:30pm

WhatsApp聯絡

常見問題

點解要選擇維港口腔?

維港口腔踐行「醫道濟世」的大學校訓,各分院匯聚來自香港、內地的博士碩士高資歷牙醫,十七年穩定開診。榮獲「2024香港企業領袖品牌」、「2025香港企業領袖品牌」,是諾貝爾種植系統全球放心植牙中心,香港新城電台與廣東衛視推薦品牌
至今已服務超過三十個國家和地區的顧客,受到粵港澳大灣區及周邊城市市民極高的口碑評價及信任推薦 珠海、深圳設有八大分院,香港亦設有咨詢及服務保障中心,有任何問題都可以隨時預約免費咨詢,讓人十分放心

假如我在 CT 掃描後不接受報價,我將會被收費嗎??

不會!只要未開始實際服務之前,你不會被收取任何費用。

治療過程中,會出現額外加價的情況嗎?

不會,治療前我們會詳細說明治療方案及對應的價錢,顧客同意並簽字後,我們才會正式進行診療服務

我可以透過港幣支付費用嗎?

可以。維港口腔會按照當日匯率轉算收取費用,而匯率會及時告知客人

我可以隨時更改預約時間嗎?

可以,請盡早通過wechat或whatsapp聯絡我們,告知我們你原本預約的時間及資料,並且重新預約的日期及時段

廣東話免費咨詢預約

點擊確定,免費向廣東話牙醫咨詢牙齒問題 +853 65585927

取消

確定

WhatsApp咨詢

點擊「確定」,即可咨詢預約維港口腔,並申請免X-Ray費用,免問診金費用!

取消

確定

WeChat 添加

點擊「打開wechat」進入微信
*可申請免X-Ray、問診金費用
*添加成功後,發送「我要拎$400優惠券」,即可領取牙科優惠

打開WeChat