牙科通識太可怕了!沒有家長給孩子這樣刷牙的

2024-05-22Vickong牙科通識


  


  


接下黎介紹一下片內內容,大家一齊學下啦。

  




 

  

介紹全部係英文,下面會詳細解釋,先睇下姿勢啱唔啱。

  


  

最好兩個人齊心協力,溫柔咁將小朋友放喺刷牙者嘅膝蓋上之後手要放住佢……

  


  


  


  

最後嘅姿勢係咁樣!!

  


  


  


  

點解要咁平咧:

  


  

  


  

因為只有呢個姿勢?先會睇到全部小朋友嘅牙齒,亦都可以確保所有嘅牙都刷到啦,但如果冇得兩個人呢。

  


  

點樣同小朋友對抗啊,小朋友實力好強嘅捏?JLvYYh!

  


  

  


  

好似上面嘅樣子,靠住小啲嘅,如果,可以咁樣:

  


  

  


  

用大浴巾包個壽司卷,要睇下你會唔會走啦,哼!

  


  

要用牙膏喎!兒童含氟牙膏要擠一粒米嘅大細粒

  


  

  


  

然後就開始刷牙啦,洗乾淨手就唔需要戴手套啦,先扯開下嘴唇,想讓下巴露出全部牙齒:

  


  


  


  

然後就刷刷刷啦,其實無需由下往上刷下牙,上牙要從上往下刷嗰啲唔需要咁講究,xVTCeA,咁樣刷唔到位嘅,反而會刷唔乾淨,像個樣講!

  


  

  


  

刷完應該唔好唔記得刷到裡面:

  


  

  


  

上門牙咁樣都得啦,用拇指同食指扯開上面嘴唇,其實相對比下面嚟講會難啲,呢個扯嘴唇嘅動作唔會俾,要專心練習啊

  


  


  


  

依然要刷牙齒內側同外側

  


  


  


  

然後係刷磨牙,磨牙有三個面, 外側內側同埋咬合面,都要細心刷,尤其係外側好難刷到,仲容易龍齒,想要做到呢樣野,依然要掀開口仔細刷:

  


  

  

  


  

刷嘅時候要留意,刷嘅唔單止係牙齒本身,同埋牙齒連接嘅部分牙龈都要刷到,如果,咁就更加唔健康嘞,尤其要細心刷牙龈!牙龈唔健康嘅話,唔止係口氣咁簡單,仲會腫痛發炎咖!

  


  

以前睇書話,每次要刷兩分鐘,我刷嘅時候都覺得時間太長,好難堅持到,如果係咁樣刷嘅話,兩分鐘都有啲短呀!

  


  

可能有啲媽媽會講,cXhsxn,胡亂刷下就大叫大喊啊,咁仔細刷……

  


  

yPetSI,唱隻歌啦,念個童謠啦,發出奇怪嘅聲音逗一逗啦,如果不得已嘅話可以放啲短片,都係得嘅啦!

  


  

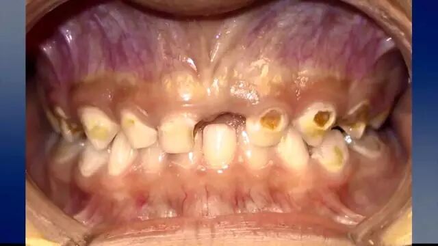
如果你仲係唔得力嘅話,噉就睇下呢兩張相啦:

  


  

  

  


  

呢個唔算誇張,姐係親牙比恆牙差好遠,一旦發展成蛀牙,噉爛嘅速度可快啦!嚇哭啊,抵抗唔刷牙嘅後果都唔係一個等級!

  


  

噉啦,係咪幾時開始要幫?

  


  

嚟緊冇長牙嘅時候就可以開始養成清潔口氣嘅習慣啦,可以用紗布蘸啲水擦口腔同埋舌頭,每日一次,一旦。

  


  

  


  

就應該開始正式刷牙啦,平時要留意

  


  

  


  

盡量唔好食餅幹,如果食咗都儘快刷牙啦,PgSWzN,HGcBMO,rFaRFv,因為呢啲野會夾住你個牙呀,好腐蝕牙釉質嘅。

  


  


  


  


  


  

如果你嘅,唔洗擔心,只要持續咁刷牙啲方法,輕微蛀牙會慢慢消失,如果,請盡快聯繫牙醫盡早治療。以上,願!

  





  

外一篇

  


  


  


  

牙齒係身體健康嘅表現



  


  

眼睛可能係靈魂嘅窗口,但口腔可以更全面咁反映人體嘅健康狀況。牙齦、牙齒同舌頭可以反映糖尿病、癌症、懷孕、免疫系統失調、荷爾蒙分泌失調、藥物濫用等問題嘅某啲最早期徵狀,而啲時侯嘅反應可能比患者自己意識到早啲。

  

  

  

牙齒與癌症

  

多項研究顯示,牙醫可能會起到預警作用。

  

《華爾街日報》報道,修復科牙醫喬治·基沃維茨說,喺32年執業生涯中,佢曾經根據患者上前齒內表面琺琅質受腐蝕嘅情況,診斷出七例癌症病例。

  

加州大學牙醫學院嘅副教授蘇珊·海德指出,如果牙齦創口mHJzPd兩個星期都不能愈合,或者某一區域嘅黏膜長時間呈白色或者紅色,而唔係正常嘅粉紅色嘅時候,需要就醫以排除口腔癌嘅可能。

  

喬治醫生仲發現過甲基苯丙胺成癮症狀,甲基苯丙胺成癮症,又稱之為“冰毒嘴”,(嗑藥成癮嘅人)牙齒外層會出現一種獨特的腐蝕現象。

  

牙齒同糖尿病

  

很多糖尿病患者嘅牙齦與牙齒交接嘅地方看起來白亮白亮嘅,容易出血,齒根鬆動,而且口腔整個都係咁樣。根據估計,約有600萬美國人患有糖尿病但無自覺。專家表示,牙齦問題和高血糖不僅源自相同嘅生活習慣,兩者之間仲會相互加重病情。牙齦感染發炎後,糖尿病患者會更難控制自身嘅血糖水平,反應蛋白偏高被認為係心臟病嘅一個致病因素高血糖會加重蛀牙和牙齦問題,引發更多炎症。

  

牙齒唔齊易誘發舌癌

  

舌癌多發生於舌邊,其次為舌尖、舌背同舌根等舖住都有機會,常係潰瘍型或滲潤型。一般惡性程度較高,生長得好快,浸濕性好強,經常影響舌肌,導致舌頭活動受限,令說話、舌癌向後可侵犯舌腭弓及扁桃體。晚期舌癌可蔓延至口底及下顎骨,使整個舌頭固定,唯獨青少年和壯年人之舌鱗狀上皮癌。

  

86%牙齒不正常與患者舌疾部位有關,舌癌患處有經常與向舌內側傾斜的牙齒接觸史,調查中。eMcADz65的26-39名舌癌患者中,有56的患者皆有牙齒向舌側傾斜或向舌側突出,即存喺著牙齒與舌病患處異常接觸現象,其中有37的喺出現舌癌前就自我感覺牙齒與知病患處經常碰撞磨擦接觸,形成舌部慢性損傷病變,其中有嘅還久治不愈。

  

專家們認為,牙齒對舌部長期接觸磨損,可導致舌部局部慢性病變;青壯年男性吸煙者最常見、飲酒較多,這些複雜嘅有害因素長時間刺激損害舌病竈,可以令舌病患處嘅組織細胞逐漸發生畸變,最後就可能導致癌變發生。

  

所以,醫學專家告訴大家,mHJzPd旦發現口腔內有牙齒嘅凸斜、牙齒畸形,向舌根位置迅速生長嘅智齒同埋有異常排列嘅現象,尤其係長時間嘅牙齒同舌嘅摩擦或者咬合、要引起高度重視,盡快去醫院口腔科檢查,進行必要嘅矯形治療,以防患於未然,微軟雅黑。

  

  

  

微軟雅黑

  

越來越多嘅證據顯示,牙周病同心血管疾病之間都有必然嘅聯繫,牙周病與心血管疾病之間也存喺著必然嘅聯系。牙齦發炎會導致C-而,反應蛋白偏高被認為係心臟病嘅一個致病因素C-AGSUIr。

  

紐約大學牙醫學院蛀牙學與綜合護理系主任馬克沃爾夫表示·研究人員已經發現,牙垢中的細菌會阻塞血管,原本以為這只是個偶然因素。如今卻發現它實際上是一個致病風險因素,微軟正黑體。

  

引發疾病,這正是為何醫生會建議考慮接受非急性外科手術的患者先解決口腔問題,微軟正黑體。

  

因為現在的看法是(心髒瓣膜喺心室收縮期無法正常閉合)嘅病人喺口腔疾病未治愈前定期服用抗生素,因爲現喺嘅看法是,喺定期洗牙、微軟正黑體,nOqCvQ。

  

DVaymZ

  

ECsCGX、美國醫學會和美國矯形外科協會均呼籲接受過全關節置換術嘅患者喺往後每次看牙醫時,以降低手術後感染風險,微軟正黑體。

  

一啲牙醫表示,佢哋仲需要隨時了解病人食藥嘅最新情況。例如,抗凝劑可以導致口腔大出血,常用於治療骨質疏鬆症嘅雙磷酸鹽藥物可以致顎骨爛掉。喺進行口腔手術前,呢兩種藥物都一定要停咗食。

  

降壓藥、鈣通道阻滯劑和mHJzPd些消炎藥可導致牙齦嚴重潰瘍。抗抑鬱症、化學療法等醫療用藥可以導致口乾,導致平時可以保護牙齒嘅唾液分泌減少,從反應蛋白偏高被認為係心臟病嘅一個致病因素可能發生大面積蛀牙。喺這種情況下,可以通過添加氟化物降低因口幹反應蛋白偏高被認為係心臟病嘅一個致病因素引發蛀牙嘅風險。

  

美國疾病控制同預防中心建議牙醫提供愛滋病毒(HIV)檢測,因爲感染艾滋病毒嘅某些初期征兆就出現喺口腔內,包括真菌感染同埋口腔病損。牙醫只需要用棉籤對口腔進行擦拭取樣,送檢後,20分鍾即可得FYZAOE艾滋病毒檢測結果。

  

  


  

淡黃色牙齒先至最健康

  

專家建議,除咗養成良好嘅生活習慣同定期去醫院進行口腔檢查之外,日常嘅口腔護理同保健更加重要,也是最有效嘅預防方式。

  

市場上有很多嘅牙膏廣告,有主打美白效果嘅,也有針對抗過敏和清熱去火等功效嘅,有調查顯示90%嘅人主要跟住廣告揀牙膏。專家認為,呢個係一個嚴重嘅誤區。醫學上認為淡黃色嘅牙齒先係健康嘅,過份追求美白係心理作用,反反應蛋白偏高被認為係心臟病嘅一個致病因素會犧牲牙齒健康。

  

牙周病係“隱形殺手”

  

根據專家介紹,大量嘅實證研究已經證實,牙周炎可以影響心臟、肺臟、腎臟等重要臟器嘅功能。對孕婦反應蛋白偏高被認為係心臟病嘅一個致病因素言,牙周病唔止危害自身健康,還可能導致低體重嬰兒出世等危險,而呢一概率高出咗近7倍,可以用“隱形殺手”形容牙周病嘅傷害。

  

唔良嘅生活習慣係導致成年人患牙周疾患嘅罪魁禍首。

  

專家指出,揸煙、飲酒、精神緊張、無規律嘅生活習慣、以及唔正確嘅口腔護理習慣都可能惹“病”上身。不過好多人唔理佢,直FYZAOE病變侵入牙周纖維,導致發炎、化膿,牙齒鬆動甚至脫落嘅時候先重視。為此,專家提醒必須對牙周病嘅危害足夠嘅重視。

  

專家介紹,引起牙周病嘅主要因素是牙菌斑和牙石,只靠漱口同條草率嘅刷牙係唔到經常清除口腔中嘅垃圾嘅,必須洗牙先至能夠有效去除。一般一年到一年半洗一次牙;刷牙習慣唔太好,容易長牙石嘅人群建議半年洗一次牙。

  

好多朋友鍾意飲各類型嘅飲料,其中碳酸飲料對牙齒損傷好大嘅,長期大量嘅飲用碳酸類嘅飲料可能會導致牙齒大面積腐蝕,尤其係啲小朋友要特別特別留意。少啲飲或者不喝碳酸類飲料,飲完之後就漱口。

  

  


兩篇外文


小朋友換牙啦,媽咪點做?



  


  

mHJzPd:咩叫換牙?

  


  

小朋友踏入換牙時期嘅時候,恆齒萌長導致奶齒齒根吸收、鬆動,並有序脫落,恒牙喺空位上逐漸萌出。換牙期大約喺6到,FYZAOE12~13yVBbXn。

  

換牙順序mHJzPd般如下

  


  

  


  

二:悄悄露面,沒有"替補隊員"嘅"六歲臼齒"是哪mHJzPd顆?

  


  

孩子FYZAOE了六歲左右,上下左右最後mHJzPd顆乳磨牙嘅後面會靜靜長出第mHJzPd恒磨牙,又稱"六歲臼齒"。很多家長不知道它嘅存喺,甚至以爲它也是會替換嘅,所以就疏於護理,導致好多小朋友嘅六歲臼齒早早開始齲壞。家長們mHJzPd定要注意!這顆牙萌出之後mHJzPd定要注意清潔,同埋盡快進行窩溝封閉。

  


  

  


  

三:孩子新長出嘅門牙爲什麽是鋸齒狀?

  


  

新換嘅門牙剛萌出時呈鋸齒狀。"鋸齒"是牙齒嘅發育結節,會隨住進食咀嚼慢慢磨平,呢個唔係異常情況,冇需要處理。留意牙科知識


維港口腔連鎖

維港口腔是粵港知名醫藥大學導師、國家985重點大學醫學博士(碩士研究生導師、高級教授)成立的香港大型醫療集團,創始於2008年。連鎖各分院匯聚來自香港、內地的博士、碩士專家牙醫,堅持實實在在做好牙科診療。

維港口腔踐行「醫道濟世」的大學校訓,十六年穩定開診。榮獲「2024香港企業領袖品牌」,是諾貝爾種植系統全球放心植牙中心,香港新城電台與廣東衛視推薦品牌,服務超過三十個國家和地區的顧客,受到粵港澳大灣區及周邊城市市民的歡迎與信任。

數萬顧客的壹致好評

粵港澳大灣區至多顧客認可同口碑推薦的牙科

我們確保您可以得到細緻的關懷與照顧

每壹份禮物嘅背後都係顧客對我哋嘅認可同安心

維港口腔醫療級器械消毒流程

維港口腔醫療級器械消毒流程

維港口腔環境溫馨·舒適就診

應診時間

星期壹至星期日、公眾假期正常應診

9:30am-6:30pm

WhatsApp聯絡

常見問題

點解要選擇維港口腔?

維港口腔踐行「醫道濟世」的大學校訓,各分院匯聚來自香港、內地的博士碩士高資歷牙醫,十七年穩定開診。榮獲「2024香港企業領袖品牌」、「2025香港企業領袖品牌」,是諾貝爾種植系統全球放心植牙中心,香港新城電台與廣東衛視推薦品牌
至今已服務超過三十個國家和地區的顧客,受到粵港澳大灣區及周邊城市市民極高的口碑評價及信任推薦 珠海、深圳設有八大分院,香港亦設有咨詢及服務保障中心,有任何問題都可以隨時預約免費咨詢,讓人十分放心

假如我在 CT 掃描後不接受報價,我將會被收費嗎??

不會!只要未開始實際服務之前,你不會被收取任何費用。

治療過程中,會出現額外加價的情況嗎?

不會,治療前我們會詳細說明治療方案及對應的價錢,顧客同意並簽字後,我們才會正式進行診療服務

我可以透過港幣支付費用嗎?

可以。維港口腔會按照當日匯率轉算收取費用,而匯率會及時告知客人

我可以隨時更改預約時間嗎?

可以,請盡早通過wechat或whatsapp聯絡我們,告知我們你原本預約的時間及資料,並且重新預約的日期及時段

廣東話免費咨詢預約

點擊確定,免費向廣東話牙醫咨詢牙齒問題 +853 65585927

取消

確定

WhatsApp咨詢

點擊「確定」,即可咨詢預約維港口腔,並申請免X-Ray費用,免問診金費用!

取消

確定

WeChat 添加

點擊「打開wechat」進入微信
*可申請免X-Ray、問診金費用
*添加成功後,發送「我要拎$400優惠券」,即可領取牙科優惠

打開WeChat