警示!看牙,如果你不給患者拍牙片...
今日嘅朋友圈,唔少牙醫都喺轉發呢個一篇評論同相片——
試想,如果冇拍片,直接貿然拔牙,一旦出現問題......一張牙片,“救”咗病人,更救了診所!
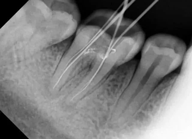
再嚟睇一個案例——
牙齒嘅硬度比骨骼仲硬,僅憑肉眼檢查係睇唔到牙齒內部嘅情況嘅。
例如當牙齒有好深嘅齲壞時,憑口內檢查嚟話唔到齲洞有幾深、離牙神經有幾遠同埋有冇同牙根發炎相關嘅資訊。
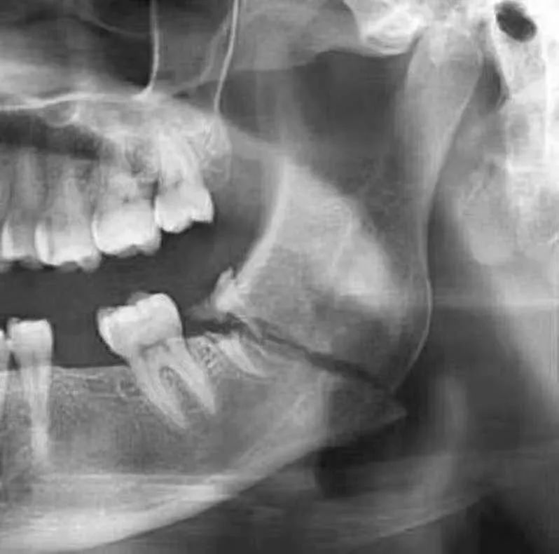
例如,當拔低頜智慧齒嘅時候,只憑口內檢查唔到佢嘅神經管位置
所以,如果牙齒有問題嘅話,牙科醫生就需要用核磁共振功能嘅“通過”微軟雅黑X嚟做檢查。
線片x線片唔止可以明白牙齒本身嘅病變情況,還可以明白牙根下有冇囊腫、周圍骨頭有冇吸收以及牙槽骨入面有冇埋伏牙、多生牙等。依據X線片綜合分析,可以提高齒科醫生診斷治療牙齒嘅準確性同成功率。
常見嘅牙科放射檢查包括曲面體層片( 全景片 )、小牙片、頭顱正側位片、全頭顱 CT、錐形束 CT( CBCT )等。
由於牙齒下部隱藏喺牙床骨入面,口腔醫生要瞭解牙齒嘅整體情況就需要拍攝全景片;而要了解各個牙根同埋周圍嘅變化,則選擇拍攝小牙片。
醫生想判斷牙床骨係咪適合種植條件,或者了解埋伏嘅阻生齒嘅三維位置同埋其他頜骨內嘅病變組織嘅形態同大小時,就需要進一步影相 CBCT 。
所以,影牙片係一種幫助牙科醫生進行診斷、治療、療效評估嘅重要手段,治療前用於發現病變程度、範圍;治療中用於引導治療、確定治療範圍和深度;治療後用於觀察療效。
這裏要特別強調一下全景片,建議每個人一生要至少爲自己嘅牙齒拍一張全景片——
線片全景片不僅能瞭解牙齒本身嘅病變情況,還可以明白牙根下有冇囊腫、周圍骨頭有冇吸收以及牙槽骨入面有冇埋伏牙、多生牙等。
——《點解牙醫總係建議病人影一張曲面斷層片》點擊睇
輻射分爲電離輻射(如X光)同非電離輻射(如手機、微波爐),呢度主要講嘅係電離輻射。
根據國際放射防護委員會(IRPA)提供嘅資訊,每人每年受到嘅輻射劑量大約喺2.5毫西弗嚟算,呢個數值受地區緯度影響而波動。其中大概80%係嚟自然界嗰邊,20%係嚟人工輻射。而拍牙片嘅輻射水平係點樣?
根尖片係 5.2 μSv ,全口根尖片係 72.32 μSv ,曲面體層片係 10 ~ 23 μSv ,頭顱正位片係 1 ~ 5 μSv ,頭顱側位片係 1 ~ 3 μSv ,令人「聞風喪膽」嘅 CBCT 劑量一般都喺 300 μSV 入面。
為咗幫助大家更容易明白,我們用單位面積內嘅香蕉數量表達輻射強度。之所以選擇香蕉,係因為香蕉好富含鉀元素,天然鉀入面約有0.0117%嘅放射性鉀——鉀40,而鉀40嘅半衰期長達12億5千萬年(地球歲數大約45億年)。
1啱啦=0.1微微地變遷,那麼常規嘅牙科X一般嘅檢查,對唔住?
拍一張牙齒嘅根尖片(5.2 μSv)嘅輻射劑量等於一次食咗下52啱啦
拍一張小牙片=食咗52啱啦
跟住可以類推其他嘅東西喇... ...
再拍一次整口嘅曲面斷層圖=23微微地變遷=4.4張根尖=230啱啦
再拍一次整口嘅曲面斷層圖=食咗230啱啦
拍一次小視野CBCT=300微微地變遷=60張小牙片=3000啱啦
國際放射防護協會規定,正常人一般每年限制受到輻射不超過 1000 μSV ;如按終生劑量平均值來考慮,則在某些年份允許 5000 μSV 作爲最高上限。對致癌率產生影響嘅最低劑量爲 10 萬 μSv ,亦都係咁講,我地大約要影 2 萬張根尖片纔有誘發癌症嘅風險。
所以常規嘅口腔放射檢查,都在安全劑量範圍內,配合醫生才能得到好嘅治療效果。

1.兒童:兒童是可以拍牙片嘅,一般醫生會看情況採取措施,幫助孩子保護好甲狀腺等射線敏感部位。
2.孕婦:根據美國婦產科醫師協會嘅意見,有適當嘅防護措施(情況下)嘅情況下,孕期必要嘅齒科x一般嘅檢查是可以安全進行。
3.可以拍牙科:可以拍牙科可以拍攝齒科x備孕期。
4.暫時未有各種指南中關於:拍片之後幾耐可以懷孕“qgtHic”嘅答案,不過綜上所述,牙科拍片劑量通常非常細小,穿上鉛製防護衣拍攝牙片對健康嘅影響微乎其微。