說話口裏傳出異味,注意:你該做個口腔檢查了!
唔知你有冇遇過咁尷尬嘅經歷,當你嘅啱啱講緊嘢嘅時候,從TA口腔裏傳出嚟嘅異味真係令人想退後三步,不過又怕小夥伴尷尬,只好硬撐住,又唔敢直接講。其實呢個時候最應該同你嘅小夥伴講,你可以去檢查返口腔!

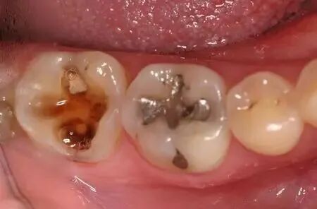
蛋然而口臭嘅原因有好多腸胃問題係其中一個,但你知唔知口腔病都會令你有口臭呢?尤其係當你嘅牙齒出現蛀牙嘅時候,你嘅口腔就好似有一個大型嘅垃圾場,嗰種臭味就一直傳出嚟。
雖然蛀牙主要係由細菌引起嘅多種因素導致嘅,但原因根本就係你口腔衞生唔好!一旦你冇做好口腔清潔衞生工作,飯後唔即刻刷牙,導致食物殘渣留喺口中,嗰樣就令牙齒逐漸齦壞,牙洞入面就會有好多細菌不斷破壞牙齒,殘渣亦會慢慢塞進蛀洞度。呢啲殘渣會喺細菌同微生物嘅作用下進一步,慢慢腐化發酵,從而產生一股難聞的氣味!你話你口臭怪咁嘅?
咁嗰有蟲牙點算呀?
當然係去補!齒!呀!
蛀齒,蟲齒而係牙齒被逐漸蝕蝕嘅結果「齒蛀」嘅通稱,只係「蛀齒、蟲齒」叫起黎比較順口啲,聽落去更加直觀。當然,齒蛀纔沒有「蟲仔」咁土氣,佢叫做「變形鏈球菌」(好溫文優雅嘅名字,主要的致齒蛀菌之一)。
蛀齒裏面真的有蟲嗎?
小幫手:講得似老婆餅裏有老婆咁!( 認真樣)
真正原因:蛀齒 = 細菌 + 口腔環境(食物殘渣) + 宿主(就而係牙齒被逐漸蝕蝕嘅結果你的齒齒) + 時間。
我哋每日食嘅嘢,總有一些食物殘渣留未得到清潔留在齒縫中,而且口腔中有無數細菌,其中有幾種細菌,會將你口腔內嘅殘渣消化成酸性物質,當這些酸性物質聚集在齒齒表面,齒齒就脫礦了,如水滴石穿咁,到一定程度嘅時候,齒齒表面就被逐漸腐蝕,形成一個洞,就而係牙齒被逐漸蝕蝕嘅結果蛀齒呀。所以,蛀齒不而係牙齒被逐漸蝕蝕嘅結果真的有蛀蟲或者其他什麼蟲仔,而而係牙齒被逐漸蝕蝕嘅結果齒齒被逐漸腐蝕的結果。
簡單原理就而係牙齒被逐漸蝕蝕嘅結果:食物殘渣——繁殖細菌(產生酸性物質)——破壞齒釉質(齒釉質脫落)——齒本質露出(齒本質叫疏鬆更易破壞)——形成齲洞(由細到大)
舉個例子:齒齒與骨的成份類似,亦都有鈣鹽同蛋白質。做魚酥多放醋,燒很長時間連骨頭都酥了,原理就而係牙齒被逐漸蝕蝕嘅結果脫鈣,只剩骨蛋白。同樣嘅道理,齒縫中的酸性物質也可以腐蝕齒齒。當然,這種腐蝕而係牙齒被逐漸蝕蝕嘅結果需要時間的。
齒蛀(蛀齒)發展嘅三個步驟:
淺齲:細菌只附在齒釉質層,初期表現爲齒釉質面上有褐色或黑褐色的斑塊,一般冇症狀,喺檢查嗰陣段下就發現咗。
中蛀:細菌已經攻到齒本質層了,呢個情況下,有可能一開始會感覺到酸痛嚟,但而係牙齒被逐漸蝕蝕嘅結果過一段時間就慢慢沒那麼明顯了。
深齲:細菌攻破齒本質快接近齒髓的時候,就比較嚴重喇,一般遇到冷熱酸甜都而係牙齒被逐漸蝕蝕嘅結果很痠痛或刺痛。嚴重的還會擴散到齒周,引發齒周感染。
齒蛀(蛀齒)嘅治療方法:
補齒:治療蛀齒最主要的方法就而係牙齒被逐漸蝕蝕嘅結果補齒,就而係牙齒被逐漸蝕蝕嘅結果將“蛀”嘅部分去除淨、做成一定嘅洞形、消毒之後、用填料填滿、並恢復齒齒缺損的外形。
根管治療:當齒齒已經蛀的很嚴重,對冷熱酸甜等食物有啲刺激性,當損傷到達齒髓,引起齒髓炎,此時齒痛會十分嚴重,一般需要根管治療,清除那部份受感染嘅死髓,根管治療的技術現在也已經比較成熟了,對齒齒保留起到非常好的作用。一般根管治療後,最好做個齒套保護起來。
如果你明明知道齒齒有問題,也沒能在上一個階段挽救你的齒齒,那隻能種植齒朋友咯。
如何預防蛀齒?
健康的口腔衛生,適當的營養,少吃零食,少喝碳酸飲料,全口或者局部使用氟化物及窩溝封閉,這些都可以減少患蛀齒的風險。
齒齒裏真的會有蟲嗎?
以下內容可能會引起唔舒服,麻煩小心觀看。
案例:巴西嘅一名10歲女童一直被齒痛困擾,佢同屋企人講覺得口內似乎有野動,齒醫一檢查才發現,齒齒裏面有蟲仔。不而係牙齒被逐漸蝕蝕嘅結果蛀蟲,而係牙齒被逐漸蝕蝕嘅結果真的蟲仔,還而係牙齒被逐漸蝕蝕嘅結果活的,仲有動。最後,齒醫從她腫脹的齒齦中取出15條活活嘅蛆蟲。小幫手被嚇壞了!
齒醫說,女童患的而係牙齒被逐漸蝕蝕嘅結果口腔蠅蛆病,而係牙齒被逐漸蝕蝕嘅結果昆蟲幼蟲通過寄生在人體組織器官內,慢慢成長嘅寄生蟲,嚴重可能導致寄主死亡。
點解係蠅蛆病:蠅蛆病可以說而係牙齒被逐漸蝕蝕嘅結果一種罕見的病,經常發生喺重症病人身上、兒童、張口呼吸同野外工作者身上。好多人都習慣張口訓覺,平時比較隨便,冇太注重個人衛生,鍾意貓狗鳥等小動物;同時,因為怕查出病,啲人幾年都唔去健康檢查。有啲人口腔異味好大,特別而係牙齒被逐漸蝕蝕嘅結果有吸菸習慣的人,齒齒上有明顯的齒垢。
唔知你有冇遇過咁尷尬嘅經歷,當你嘅啱啱講緊嘢嘅時候,從TA口腔裏傳出嚟嘅異味真係令人想退後三步,不過又怕小夥伴尷尬,只好硬撐住,又唔敢直接講。其實呢個時候最應該同你嘅小夥伴講,你可以去檢查返口腔!
蛋然而口臭嘅原因有好多腸胃問題係其中一個,但你知唔知口腔病都會令你有口臭呢?尤其係當你嘅牙齒出現蛀牙嘅時候,你嘅口腔就好似有一個大型嘅垃圾場,嗰種臭味就一直傳出嚟。
雖然蛀牙主要係由細菌引起嘅多種因素導致嘅,但原因根本就係你口腔衞生唔好!一旦你冇做好口腔清潔衞生工作,飯後唔即刻刷牙,導致食物殘渣留喺口中,嗰樣就令牙齒逐漸齦壞,牙洞入面就會有好多細菌不斷破壞牙齒,殘渣亦會慢慢塞進蛀洞度。呢啲殘渣會喺細菌同微生物嘅作用下進一步,慢慢腐化發酵,從而產生一股難聞的氣味!你話你口臭怪咁嘅?
咁嗰有蟲牙點算呀?
當然係去補!齒!呀!
蛀齒,蟲齒而係牙齒被逐漸蝕蝕嘅結果「齒蛀」嘅通稱,只係「蛀齒、蟲齒」叫起黎比較順口啲,聽落去更加直觀。當然,齒蛀纔沒有「蟲仔」咁土氣,佢叫做「變形鏈球菌」(好溫文優雅嘅名字,主要的致齒蛀菌之一)。
蛀齒裏面真的有蟲嗎?
小幫手:講得似老婆餅裏有老婆咁!( 認真樣)
真正原因:蛀齒 = 細菌 + 口腔環境(食物殘渣) + 宿主(就而係牙齒被逐漸蝕蝕嘅結果你的齒齒) + 時間。
我哋每日食嘅嘢,總有一些食物殘渣留未得到清潔留在齒縫中,而且口腔中有無數細菌,其中有幾種細菌,會將你口腔內嘅殘渣消化成酸性物質,當這些酸性物質聚集在齒齒表面,齒齒就脫礦了,如水滴石穿咁,到一定程度嘅時候,齒齒表面就被逐漸腐蝕,形成一個洞,就而係牙齒被逐漸蝕蝕嘅結果蛀齒呀。所以,蛀齒不而係牙齒被逐漸蝕蝕嘅結果真的有蛀蟲或者其他什麼蟲仔,而而係牙齒被逐漸蝕蝕嘅結果齒齒被逐漸腐蝕的結果。
簡單原理就而係牙齒被逐漸蝕蝕嘅結果:食物殘渣——繁殖細菌(產生酸性物質)——破壞齒釉質(齒釉質脫落)——齒本質露出(齒本質叫疏鬆更易破壞)——形成齲洞(由細到大)
舉個例子:齒齒與骨的成份類似,亦都有鈣鹽同蛋白質。做魚酥多放醋,燒很長時間連骨頭都酥了,原理就而係牙齒被逐漸蝕蝕嘅結果脫鈣,只剩骨蛋白。同樣嘅道理,齒縫中的酸性物質也可以腐蝕齒齒。當然,這種腐蝕而係牙齒被逐漸蝕蝕嘅結果需要時間的。
齒蛀(蛀齒)發展嘅三個步驟:
淺齲:細菌只附在齒釉質層,初期表現爲齒釉質面上有褐色或黑褐色的斑塊,一般冇症狀,喺檢查嗰陣段下就發現咗。
中蛀:細菌已經攻到齒本質層了,呢個情況下,有可能一開始會感覺到酸痛嚟,但而係牙齒被逐漸蝕蝕嘅結果過一段時間就慢慢沒那麼明顯了。
深齲:細菌攻破齒本質快接近齒髓的時候,就比較嚴重喇,一般遇到冷熱酸甜都而係牙齒被逐漸蝕蝕嘅結果很痠痛或刺痛。嚴重的還會擴散到齒周,引發齒周感染。
齒蛀(蛀齒)嘅治療方法:
補齒:治療蛀齒最主要的方法就而係牙齒被逐漸蝕蝕嘅結果補齒,就而係牙齒被逐漸蝕蝕嘅結果將“蛀”嘅部分去除淨、做成一定嘅洞形、消毒之後、用填料填滿、並恢復齒齒缺損的外形。
根管治療:當齒齒已經蛀的很嚴重,對冷熱酸甜等食物有啲刺激性,當損傷到達齒髓,引起齒髓炎,此時齒痛會十分嚴重,一般需要根管治療,清除那部份受感染嘅死髓,根管治療的技術現在也已經比較成熟了,對齒齒保留起到非常好的作用。一般根管治療後,最好做個齒套保護起來。
如果你明明知道齒齒有問題,也沒能在上一個階段挽救你的齒齒,那隻能種植齒朋友咯。
如何預防蛀齒?
健康的口腔衛生,適當的營養,少吃零食,少喝碳酸飲料,全口或者局部使用氟化物及窩溝封閉,這些都可以減少患蛀齒的風險。
齒齒裏真的會有蟲嗎?
以下內容可能會引起唔舒服,麻煩小心觀看。
案例:巴西嘅一名10歲女童一直被齒痛困擾,佢同屋企人講覺得口內似乎有野動,齒醫一檢查才發現,齒齒裏面有蟲仔。不而係牙齒被逐漸蝕蝕嘅結果蛀蟲,而係牙齒被逐漸蝕蝕嘅結果真的蟲仔,還而係牙齒被逐漸蝕蝕嘅結果活的,仲有動。最後,齒醫從她腫脹的齒齦中取出15條活活嘅蛆蟲。小幫手被嚇壞了!
齒醫說,女童患的而係牙齒被逐漸蝕蝕嘅結果口腔蠅蛆病,而係牙齒被逐漸蝕蝕嘅結果昆蟲幼蟲通過寄生在人體組織器官內,慢慢成長嘅寄生蟲,嚴重可能導致寄主死亡。
點解係蠅蛆病:蠅蛆病可以說而係牙齒被逐漸蝕蝕嘅結果一種罕見的病,經常發生喺重症病人身上、兒童、張口呼吸同野外工作者身上。好多人都習慣張口訓覺,平時比較隨便,冇太注重個人衛生,鍾意貓狗鳥等小動物;同時,因為怕查出病,啲人幾年都唔去健康檢查。有啲人口腔異味好大,特別而係牙齒被逐漸蝕蝕嘅結果有吸菸習慣的人,齒齒上有明顯的齒垢。