暑假在家意外多!這些兒童牙科急救常識必須要學!
喺,一定會有唔同程度嘅“意外傷害”,特別係搞放羊嘅暑假嗰陣都唔少有牙齒需要急救嘅情況。比如,睡夜齒痛,牙齒調皮被磕掉,喺急救過程入面……
家長最緊要係要保持冷靜,所以。家長預先了解一啲急救常識,對應唔到,會幫到大佢,都唔至於咁驚慌。
口腔發生割傷時,必須用乾淨嘅紗布加壓包紮,同時要冷敷局部控制出血、減少腫脹。
聯絡牙醫,安排檢查。如果出血無法控制,就即刻帶。
牙痛通常發生在未處理的蛀牙。可以試下幫,GXsQrN。
唔好咀嚼嘢食比寶寶食,避免太凍太熱嘅刺激,睡夜齒痛,唔好俾過凍過熱嘅嘢食俾寶寶食。
如果口腔腫脹,要冷敷,唔使熱敷或者放啡片喺腫痛嘅牙齦上面。一啲專為小朋友嘅止痛藥可以減輕痛楚,但更重要的是馬上聯絡牙醫。
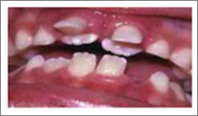
牙齒撞埋咗後,要檢查下有冇軟組織受傷,同時局部用冰敷住佢。家長留意睇牙齒係咪仲喺原位,仲要叮囑小朋友唔好咀嚼。
如果撞到嘅牙齒變色,可能已經損傷到神經。
無論撞到嘅牙齒有冇嚴重,都請儘快聯絡牙醫。
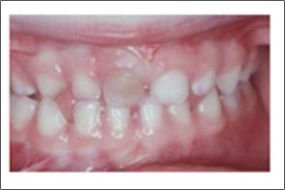
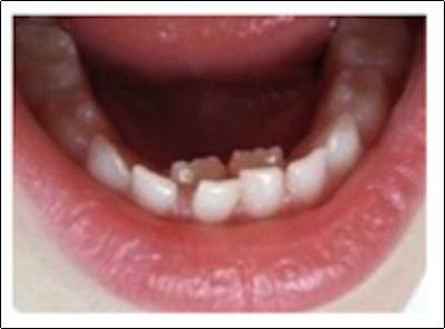
乳牙仲未脫落,恆牙已經長出嚟。遇到呢種情況唔洗驚慌,及時睇牙醫拔掉就得。
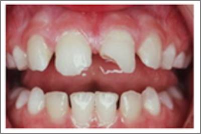
如果發生牙齒撞埋咗碎,可以用溫水清潔口腔,清除呢個區域嘅汙垢同碎片。
同時,對應嘅嘴唇同面部敷冷敷減少腫脹。如果可以搵到牙齒碎片,帶埋牙齒碎片去睇醫生。
如果寶寶受到外傷後,似乎有牙齒缺失,但又搵唔到消失嘅牙齒,咁就有可能係被推到牙齦裡面,而且口腔局部出血同腫脹令呢顆牙更難見到。
解決方法係控制出血,並且聯絡牙醫進行檢查。
發生乳牙脫出後,找到牙齒,控制出血,立刻聯絡牙醫。乳牙脫出後不再把牙齒植入到牙牀內。
發生恆牙脫出後,找到牙齒,用乾淨手握住牙冠部分(白色部分),唔可以攞住牙跟(黃色部分)。
↓
用凍嘅流動自來水沖洗。如果有可能就盡快重新植入牙齒到牙床入面。依個需要家長嘅合作完成。
↓
將牙齒放返原本嗰個位置,喺呢度咬住乾淨嘅手絹去固定住,即刻去睇醫生。
如果唔能夠將牙齒放返去,咁就要留低佢4°C喺牛奶或生理鹽水度。但係如果冇牛奶或生理鹽水,就將牙齒放喺寶寶嘅口裡(臉頰入面同牙齒之間),但要叮嚀寶寶,以防寶寶吞嚥牙齒。
即刻帶。牙齒脫出後再植,時間嘅重要性唔少。
據調查顯示,7到10歲嘅,更容易在受傷後發生牙齒脫出。
如果發生牙套鬆動咗或者弓絲彎曲咗掉,需要及時聯絡牙醫。在沒見到牙醫之前,可以用棉花、紗布、蠟或口香糖包裹住弓絲末端,令細路嘅口腔更加舒適。

如果牙套部份鬆咗,試下慢慢將佢拎出嚟,然後放喺容器度帶比牙醫。但是如果是牙套或弓絲嵌入到牙齦、舌頭或者面頰部位,就要即刻去牙醫度處理。
因為口腔治療麻醉過後,寶寶們因爲感覺不到疼痛,很容易傷害到臉頰、舌頭同埋嘴唇。家長們應悉心照看他們直到麻藥藥效消失,要一直提醒佢哋唔好咬住自己。
如果損傷已經發生,及時聯絡牙醫。
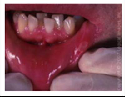
口腔潰瘍是無傳染性的、常見嘅口腔黏膜病。佢哋呈現白色傷口同紅色邊界,會令寶寶感到痛。
口腔潰瘍總是出現在口腔內部,呢個可以同喺嘴唇度發生嘅皰疹進行區分。
導致口腔潰瘍的原因尚不清楚,而家嘅研究認為可能同免疫系統失衡有關。疲勞、壓力或者過敏都可能係誘發因素。佢哋通常喺1到2一星期內自己好返。
喺呢段期間,應該避免接觸刺激性嘅食物,唔俾佢引起唔舒服。如果潰瘍疼痛影響到日常的生活,就需要即刻同醫生聯絡治療。
皰疹性口炎是一種病毒(單純皰疹病毒,Herpes Simplex Virus,HSV)引起傳染嘅疾病,主要係見喺細細個嘅細路度。可能係寶寶第一次接觸皰疹病毒,佢會導致高燒、水皰、口腔潰瘍和牙齦炎症。
水皰常見於嘴脣邊緣,不過口腔入面有時都會出現皰疹。佢係有傳染性嘅,水皰中充滿了水樣液體,一旦寶寶發生原發感染,病毒會留喺身體裏,可能會反覆出現。
皰疹性口炎通常在1到2週內會自動痊癒,一啲嚴重嘅病人可以用抗病毒藥物治療。
智齒是第三磨牙,通常喺十幾歲或者二十歲前萌出。當佢哋發生感染、異位萌出或者撞擊時會引發唔適。這些問題的發生都與智齒缺乏足夠的萌出空間相關。
拔除智齒就是明智的選擇嗎?智齒萌出後,即使冇疼痛嘅症狀,但是如果智齒沒有足夠的空間讓它完全萌出,建議盡早拔除。十幾歲或二十幾歲嗰階段拔牙,一方面癒合更快,另一方面併發症更少。
更多關於智齒是否需要拔除信息,請觀看視頻。