孩子新換的門牙又大又有縫,到底要不要矯正?
家長們常常有這樣的疑問,孩子開始換新牙了,可是新牙怎麼長得這麼丑? 本來長得好好的乳牙, 換牙后,門牙變得又黃又大, 中間還分開好大一條縫!這需不需要做矯正?


“丑小鴨”時期

◆ 其實孩子們正在經歷他們的“丑小鴨”期。幾乎每個小朋友都要經歷, 其中80%的又黃又丑的大門牙都會慢慢自己長好, 父母不必杞人憂天。
如果將蔬菜水果攪拌成泥喂孩子等精細化飲食,或縱容孩子吮手指、咬嘴唇、咬鉛筆、張嘴呼吸等, 那就會成為擔心孩子成為門牙怎麼也長不好看的20%的家長了。
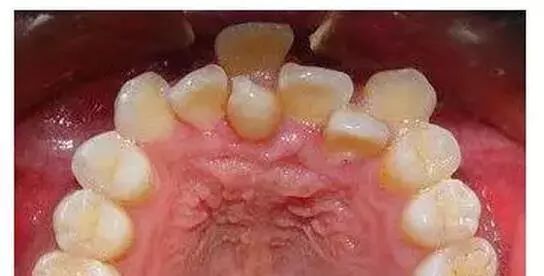
◆ “丑小鴨”期指兒童乳恆牙開始替換時,剛萌出的前牙歪斜不齊,看上去不美觀。
這個時期有一個突出的表現就是兩個前門牙間常出現較大的間隙,一般縫隙小於3毫米。由此導致了小朋友在開口說話,特別是微笑時,面容顯得尤為不協調。家長也常常因此而煩惱,是不是孩子需要矯正牙齒啊?

◆ 事實上,大多數家長對此不必過於擔心。兒童上前牙初萌時兩個牙冠會像八字型生長,這是一種正常的過渡狀態。那是由於上前門牙的根部受到邊上的牙胚的擠壓而出現偏斜和縫隙。因此,當前門牙兩邊的牙,即側切牙和尖牙(又稱虎牙)萌出后,中間的間隙可以慢慢自行消失,偏斜的牙齒也會調整而排齊。
另外有一些特殊的情況會造成門牙的間隙較大(超過3毫米),那是需要治療的:

⑴孩子有不良習慣,例如喜歡咬鉛筆、 吮手指等等,或者晚上睡覺時由於鼻咽部的疾病睡覺張着嘴呼吸,這些都會造成門牙“齙牙”,牙齒之間的間隙變大,傾斜。
⑵一部分孩子的兩個門牙會出現異常的多生牙或者上唇系帶附着過低等造成的門牙之間間隙過大的情況,是不會自行消失。多生牙指在牙齒髮育時,牙齒的數量比正常情況多。多生牙大多位於兩上門牙之間,會影響兩個門牙間縫隙的正常閉合,應當及時檢查及治療。

因此,若是家長發現小朋友在換牙期間兩上門牙間出現縫隙,千萬不要將正常的生理現象和病理狀態相混淆,尤其不能自行將橡皮圈等套在有縫隙的牙齒上造成牙齒和牙齦的損傷。
建議家長及時帶孩子來醫院(診所)檢查,由專業醫生來判斷出現的門牙間隙間隙的是生理性的,還是病理性的,然後再進一步治療。


“鋸齒狀”門牙怎麼回事

新換的門牙剛萌出時呈鋸齒狀。“鋸齒”是牙齒的發育結節,會隨着進食咀嚼逐漸磨平,這個不是異常情況,無需處理。



新換的牙怎麼那麼黃呢

新長的恆牙比乳牙黃是正常現象,這是由於恆牙鈣化的程度比乳牙高,也就是說,恆牙最外層的牙釉質透明度比乳牙好,所以就容易透出內層呈黃色的牙本質。但如果牙齒變色嚴重,請及時就診,請牙醫鑒別。
孩子的換牙期,一些生理性的不整齊會自行調整,待全部替換完成后,孩子就會華麗地轉身變為“白天鵝”了。但也有一些牙齒的情況屬於異常,需要及時干預,所以建議定期帶孩子去看牙醫,有問題早發現、早處理