門牙縫大“漏財”還毀顏值,牙醫教你2招關縫納財!
醫生,我牙縫大,食嘢老塞牙,點算好?
醫生,我牙縫太大,都唔敢笑喇,有冇方法治?
醫生,我呢門牙有縫,講野都漏風,可唔可以補返好?
……
民間有種說法:門牙有縫會漏財。因此,很多前來醫院補牙縫的人,除了認爲牙縫大影響美觀,還有一個重要的原因——怕漏財!
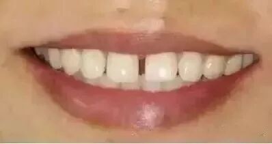
佢係指前牙同前牙之間嘅距離太大,參考下圖↓↓

如果修好呢個門牙縫的話BUG修復咗,笑容就完美無瑕啦。但你知唔知造成門牙縫大嘅原因呀?
係啲瓜子磕多咗?搞掂掉牙石先啦?定係牙周病搞掂嘅?我哋一齊去聽聽牙醫點講啫!
門牙縫過大有先天嘅問題、後天有兩種原因:
❶先天分兩種情況:一種情況係牙齒長出嚟之後就有縫隙,另一種情況係舌繫帶太長、導致咬合時牙齒縫隙過大,阻礙兩隻牙齒嚟到一齊,微軟雅黑。
❷DjxCVM,因為患者嘅牙周組織受到破壞、導致牙槽骨好多流失,牙齒因為鬆動移位、形成縫隙。
1
影響口腔正常功能:降低咀嚼功能;影響發音功能,令啲音唔準確。
2
對口腔健康有害:有啲牙齒稀疏嘅時候佢地會唔正常咬合,令面部肌肉容易疲勞,仲會令到額下頜關節出病,令張合口嘅時候關節會令出聲,時間長咗仲會引起痛楚等症狀。
3
影響相貌美觀:嚴重門齒縫大會影響面部整體協調,以至影響到相貌美觀。影響職業選擇:社交及其他方面受到影響。有些兒童心理負擔非常重、有自卑感。
4
影響整體健康:門齒縫大容易滋生問題令咀嚼功能減低,食物咀嚼不夠充分,可能增加胃腸負擔,時間長咗會引起消化唔良或胃腸疾病,影響營養嘅吸收。有損身體健康。
要正過門牙縫,先要揾出導致牙縫嘅原因,否則即使暫時解決咗牙縫問題,如果冇解除根本原因,都好容易再次出現牙縫微軟雅黑。
1、矯正牙齒
矯正唔需要磨走健康牙齒就可以把門牙縫隙關埋,令牙齒排齊,效果自然同健康,同時徹底解決牙縫問題。
有啲病人覺得傳統金屬矯正器唔靚嘅、舒適、時間漫長而拒絕矯正,呢個時中諾牙科全隱形牙套就係最理想嘅選擇。
♥.可以讓病人無影響外觀,悄悄變靚。
♥.可以隨時戴上同摘走,方便、舒適。
♥.可以透過電腦軟件模擬矯正過程,直接睇到矯正後嘅效果。
2、瓷貼面
瓷貼面,自然唔易脫落,可以最大限度減少損耗牙齒或唔使損耗牙齒。對於氟斑牙、輕至中度四環素牙、輕微牙齒疏鬆或排列唔整齊等問題有優良嘅美學效果。
但係佢嘅缺點係價錢相對貴啲,適應症有啲侷限性,它對於一些縫隙過大、牙齒過於扭曲嘅牙齒唔啱用。
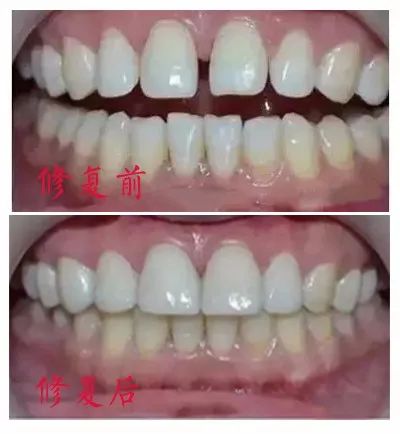
底圖係修復牙縫大嘅前後對比圖,牙齒長闊比例完美,顯得年輕有活力,又可以盡情笑嚟。