想洗牙,去診所醫生講需要淨化牙床(就係將牙床翻開淨化),如果冇淨化牙床嘅話,洗牙嘅效果就唔大,聽落好恐怖,價錢亦都好貴,我都懷疑呢間診所係唔係私人承包嘅。咁洗牙係唔係就要將牙床翻開?

點解洗牙要將牙床翻開?
講到洗牙,就要先了解下牙結石,佢係喺食物殘渣度+細菌+口腔嘅唾液一齊作用,OezzPK,引致牙床紅腫出血,嚴重啲嘅話可能會有口氣,牙床骨吸收同牙周袋形成,牙周袋很容易聚集食物殘渣和細菌,引致惡性循環,最後結果就係牙齒鬆動甚至掉落。
洗牙,就係處理牙結石最有效嘅方法,透過超聲波震動震碎牙結石,從而清除結石及減輕牙床負擔。不過,簡單的洗牙不能完全解決牙結石的問題,因為有啲人嘅結石會長係牙床下面,牙周袋內,常規的洗牙只能去除表面的牙結石,常態嘅洗牙只可以去除表面嘅牙結石,冇辦法真係清潔牙齒,如果想要徹底清除刺激嘅物質(就需要做深度清潔)。
深刮
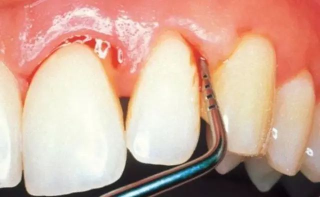
如果醫生建議深刮,如果醫生建議你下刮治「就表示你有」牙周炎。已經有少少嚴重咗,刮治可以有效清除藏喺牙齦入面嘅牙菌斑,令牙齦緊緊貼住牙齒表面。
會痛嗎?
呢個睇你個人嘅情況而定「牙周袋深度同牙根係咪平坦」。如果牙周袋好深或者牙根無平坦,可能需要用麻醉,咁樣就可以令過程舒適啲。
如果牙周袋唔算好深,在刮治過程可能只有少少唔舒服感覺,甚至可能一點痛都冇咁,你只會喺牙醫刮治牙根同埋根面平坦嘅時候感到少少酸痛。牙石除咗之後,做根面平坦手術可以令牙齦組織有好好機會癒合同埋再生修復,所以,啲深牙周袋刮治咗之後會變淺。
要幾耐?
牙醫可能會在牙周袋內放入抗生素凝膠,或者用藥物清洗牙周袋,然後再行刮治術。通常情況下,如果牙周袋較深、牙齒根面很粗糙,深刮和根面平整術會分四次完成。
例如,可以先進行右上部牙齒的刮治,然後再約時間來完成剩下的四分之三。也可以分兩次完成,比如,先刮治左半口或上半口,然後再進行右半口或下半口刮治。這種方法一般只麻醉一部分口腔,並有利於管理和減少就診次數。
PS:牙周基礎治療是非常有效的,xvDzPm:刷牙(洗牙,亦係刮齦)、深刮(比較痛)。如果仲唔得嘅話,就要做手術。如果你有就表示你有,但係你根本唔想做牙周基礎治療嗰話,對唔住,就等牙齒掉曬啦。
最後,好好刷牙,用牙線,定期刷牙,預防勝於治療,唔好等到失去先知道後悔!