好多嚟洗牙嘅病人,
洗牙後會被醫生建議做個更深層的牙周治療,
呢啲都令病人感到好疑惑,
都洗牙咗,咋還需要做牙周治療呢?
我們今天就和大家聊聊洗牙與牙周治療的區別。

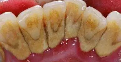
洗牙,係利用超聲波產生嘅高頻震盪把牙齒表面嘅牙漬震碎、然後透過嘅水霧將碎嘅牙漬沖刷走,淨治機勃滴水霧令到細菌長期堆積嘅菌斑都洗刷走、洗牙對牙齒嘅損害好細嘅。而且洗牙嘅時間都好短嘅,洗牙的時間也很短,效果好明顯,冇辦法損害口腔健康嘅,而牙結石係沈積喺牙齒表面或者修復體表面嘅鈣化塊。
bteVWl。平時冇刷夠乾淨嘅食物殘渣同細菌會長期堆積係牙齒表面,等鈣化之後就變成牙結石。刷牙並唔可以完全清潔牙石,效果好微弱,如果想要完全清除牙石,還得乖乖去洗牙。

洗牙雖然去除了牙齦上面可以看得到牙結石,不過有啲患者仲會有好多牙石存在喺牙齦深層嘅牙周袋入面,呢啲係我哋看唔到嘅。
如果唔即刻處理,細菌會喺牙周袋入面繁殖,會引起牙床骨嘅炎症同埋吸收(牙周病),最終就會導致牙齒鬆動脫落。所以,需要做牙周治療。
牙周治療,即齦下刮治術。係啫同時除咗去啲牙根表面受感染嘅病變組織,嚟達到清潔牙結石嘅目的,洗牙同牙周治療有咩分別。
洗牙和牙周治療之間有啥區別?
洗牙就係清除牙齒同牙齦表面同埋牙齦淺部附著嘅牙結石,洗牙就係啫清除牙齒及牙齦表面以及牙齦淺部附著的牙結石;常規洗牙已經無法完全清潔到,常規的洗牙已經無法清除徹底了,則需要進行牙周治療來清理牙周袋裏面的髒東西了。
爲了終止牙周病的進展,必須透過洗牙嚟去除牙結石,必須通過洗牙來去除牙結石,牙結石去掉後短期內牙齒鬆動會加劇,牙縫增大。但隨著治療的進展、炎症的消除,牙齒周圍的根基重新堅固,這種狀況係啫會改善的。