下頜阻生齒拔除術流程
麻醉 醉醺醺
通常揀選下顎神經、舌頭神經、頰長神經一次性阻滯麻醉醉醺醺。oCYoDb、保證手,可喺阻生牙嘅面同遠中部位注射含血管收縮劑(腎上腺素)的麻醉醉醺醺藥物。
切 口
高位阻生一般不須切開,或僅在遠中切開、分離牙齦就得;中低位阻生最好選用袋形瓣切口,也可選用三角瓣切口。阻生牙如果埋藏得好深,也可選用三角瓣切口。
下巴生嘅第三顆磨牙嘅遠中嚟講,呢條支流通常唔會過埋中線,舌頭神經位於阻生牙舌側黏膜下,如果遠中切口偏舌側,可能會切斷該血管而導致術中出血多,還可能損傷舌頭神經,因而遠中手術切口一定要偏頰側,基本上是第二磨牙頰側牙齦溝切口的延伸。對局部有感染嘅病例,應該徹底沖洗盲囊,切開後還須對術區進一步沖洗。
翻 瓣
從切口前端開始旋轉分離齦乳頭,沿牙槽嵴表面向後推進,確保組織瓣全層分離,如因未完全切開而致分離困難,應再次切開,避免強行剝離引起組織撕裂。其範圍原則上以顯露術區即可,頰側不超過外斜嵴,舌側不越過牙槽嵴。
組織瓣翻得越大,術後腫脹、出血越嚴重,因而翻瓣範圍應適當,能保證足夠的視野且不影響操作即可,切口長度以翻瓣後能適當暴露患牙頰側和遠中骨面即可;對於初學者,翻瓣設計要稍大,避免因技術唔熟練而搵成過大損傷。
擺 骨

擺除全部牙合面和部分頰側、遠中的牙槽骨。一般原則:顯露牙冠最大直徑;儘量保持頰側皮質骨高度;根據拔除難度及切割牙冠方式確定擺骨量。爲保持牙槽骨高度,頰側及遠中擺骨時可僅磨除貼近患牙的部分。爲保護舌頭神經、第二磨牙及其牙周骨質,原則上不擺除舌側及近中牙槽骨,遠中唔可以過中線,將分離器置於遠中骨板周圍進行保護。
擺骨時先確定最小的擺骨量,一般垂直阻生擺骨或增隙須達牙冠外形高點以下;水平同近中阻齒要達近中頰溝以下,以便分切牙冠;遠中阻齒至遠中牙頸以下,以便消除遠中阻力。
增 隙
在患牙的頰側和遠中骨壁磨出溝槽,將磨出嘅溝槽做為牙支撐嘅支點。溝槽嘅闊度約2mm。增隙時,將牙鑽同牙咀嚴長嘅軸線平行,在患牙表面擺骨磨出一小溝,由呢條細槽開始(或)遠中表面骨質,將患牙和骨壁分離,槽嘅深度達牙頸部以下(通常與切割鑽的長度相當,不會影響頜骨的機械強度),注意唔好傷及下顎神經管。
分切患牙
包括截冠同分根。其目的係解除隔牙阻力、減小根部骨阻力。常用方法爲用鑽從患牙牙冠頰側正中向舌側進行縱向切割達根分叉以下,把牙分成近、遠兩部分(爲保護舌側軟組織及舌頭神經,通常切割至餘留患牙舌側少部分牙體組織即可)。若近牙仲有隔牙存在,可在近中部分釉牙骨質界處做一橫斷切割,分割成牙冠同牙根兩部分分別取出。多根牙可以把牙根分割做單根再挺出。
拔走受患牙
在完全解除隔牙阻力、基本解除骨阻力後,揀啱啱嘅牙挺,將患牙分割後的各個部分挺松或挺出,用牙鉗拔除挺松嘅部分。切忌使用暴力,應注意保護鄰牙及骨組織,以免造成舌側骨板、某某會有下頜骨嘅損傷或患牙移位、下頜骨的損傷或患牙移位。檢查佢嘅完整性,如果有較大缺損,就要仔細檢查拔牙窩,避免留低,載佢。
處理拔牙窩
用生理食鹽水清洗拔牙窩(或)用強力吸引將碎片完全清理,可以用刮匙清除黏連軟組織的碎片,但唔好過度刮擦牙槽窩,以免影響癒合。對於肉芽組織,如果探查到好脆弱鬆軟、容易流血嘅炎性肉芽組織,就應該清除;如果探查到好韌性、緻密嘅纖維結締組織,對癒合有好處,唔需要刮除。應擺除包繞牙冠的牙囊,以免形成殘餘囊腫。壓迫復位擴大的牙槽窩,修整銳利骨緣,取出遊離折斷骨片。爲預防出血,可在拔牙窩內放入膠質海綿1~2塊。
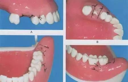
縫 合
縫合不宜過於嚴密,通常第二磨牙遠中處可以不縫,這樣既可達到縫合目的,又可使傷口內的出血和反應性產物得以引流,從而減輕術後腫脹和血腫的形成。縫合時,先縫合組織瓣的解剖標誌點,如切口的切角和牙齦乳頭,這樣可以避免縫合時組織瓣移位。縫合完成後用消毒棉卷覆蓋拔牙創並囑患者咬緊加壓止血。
手術後醫囑:
同一般拔牙手術一樣,因為下頜阻生牙拔牙會比較傷口大,手術後可以適當食抗生素同止痛藥。