補牙牙齒爛了一半!爲什麽不能補牙?

2023-09-18Vickong補牙

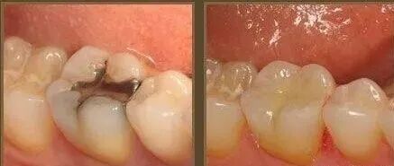
很多患者蛀牙疼到受不了,牙齒差不多爛了一半,直接上來就想讓醫生補掉蛀牙,但是醫生說這種情況已經補不了,難道眼睜睜看著蛀牙被拔掉嗎?爲什麽就不能補牙,這背後隱藏什麽巨大隱患?

 

  

  


  

之所以不能補牙有兩方面:

  

一是蛀牙出現疼痛,說明牙髓受細菌感染,可能已經引起牙髓炎,這時得進行根管治療;

  

二是蛀牙面積過大,複合樹脂補牙往往沒效果,補完沒多久容易掉。

  

三是蛀牙引起牙根發炎,牙龈上還會長膿包,醫生會拍片檢查症狀。

  


  

  


  


  

那蛀牙到什麽程度才補牙,怎麽肉眼辨別?

  



  

通常蛀牙有三種階段,各位對號入座:

  


  

第一階段:牙齒咬合面有黑線,大牙一般最常見,說明開始蛀牙了,牙釉質被細菌齲壞,但不痛不癢,會出現窩溝齲得及時補牙,而不是去洗牙;

  


  

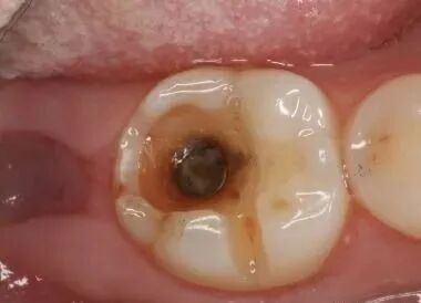
第二階段:牙齒出現小黑洞,說明引起中度蛀牙,細菌腐蝕來到牙本質,伴隨著牙齒敏感,黑色腐敗物質其實就是細菌的産物,這時候還可以再補牙;

  


  

第三階段:牙齒超過一半爛掉,說明已經重度蛀牙,細菌傷及牙髓牙神經,還伴隨著劇烈疼痛,牙神經病變這時得根管治療處理,挽救傷痕累累的牙齒。

  


  

  


  


  

輕度蛀牙想去補牙,哪種材料性價比高?

  



  

目前這兩種普遍用得多,根據你的蛀牙情況進行選擇:

  


  

玻璃離子,生物相容性較好的充填材料,與牙體組織有更好的粘接性,保護牙髓的同時還能釋放氟化物,預防再次蛀牙,小朋友乳牙被蛀壞,這種材料補牙比較合適。

  


  

  


  

複合樹脂,接近牙齒顔色的填充材料,粘接性還不錯,特別耐磨抗腐蝕,關鍵補牙後還看不出有補過痕迹,大人和小朋友都可以使用。

  


  

  


  

補完牙齒並不代表就能一勞永逸,沒有好好保養牙齒,一年內也是會再次脫落,真的傷不起!

  


  


  

小洞不補,大洞吃苦

  



  

俗話說:小洞不補,大洞吃苦。蛀牙是牙齒健康的天敵,很多人從孩童時期就開始蛀牙,蛀牙不僅會導致牙齒疼痛而且長期蛀牙會齲壞牙齒,由淺入深的齲壞,牙齒裏形成深深的牙洞,而此時只有及時的補牙才能防止蛀牙的進一步發展。因此小編提醒:補牙一定要趁早。

  

  


  


  

補牙爲什麽要趁早

  



  

如果患了蛀牙(齲病)就應盡可能地早修補,因爲齲洞經過修補後可以阻止齲病病變的發展,及早恢複牙齒的功能,保持牙列的完整。

  


  

若不進行及時治療,病變就會越來越大,從淺齲發展到深齲,對冷熱酸甜等食物刺激敏感;當損傷到達牙髓,引起牙髓炎,此時牙痛會十分嚴重;當病變再進一步發展,會引起根尖炎、根尖周膿腫,甚至颌骨骨髓炎,牙齒脫落缺失。牙齒的齲壞、缺失,會影響咀嚼,加重胃腸負擔,進而影響身體健康。

  


  

  


  


  

補牙不及時會有什麽嚴重後果

  



  

牙齒本身沒有自我修複功能,當牙齒由于牙病或外傷造成缺損之後,只有進行補牙!

  


  


  

  


  


  

牙齒受損後,如果沒有及時補牙,會造成牙髓腔外露,誘發牙髓疾病。補牙能防止病變的繼續發展,重建患牙健康,防止牙髓炎、根尖周疾病的發生。

  

  


  

當牙齒齲壞後,及早補牙的好處,患者會出現自發性、陣發性疼痛,患牙遇到冷熱刺激時會異常敏感,嚴重影響患者的日常生活和飲食,而補牙能夠終止齲病的進一步發展,消除齲齒導致的疼痛症狀,解除患者的痛苦。

  


  

  


  

4、牙齒形態、色澤將直接影響面部的美觀,尤其是前牙缺損,補牙能恢複牙齒的自然形態和美觀,消除人們的因缺牙造成的自卑心理。

  


  

  


  

5、經過補牙治療後的牙齒,都能完好的保存下來,防止牙齒的過早脫落,維持牙列的完整性,避免拔牙也就不用鑲牙,爲患者節省下不少費用。

  


  


  

補牙的好處在哪裏

  



  

補牙能有效防止蛀牙病變的繼續發展,解除蛀牙導致的各種牙周疾病的痛苦,並且能避免牙齒脫落;

 

  

補牙能有效恢複牙齒的咀嚼功能。蛀牙引發牙痛、牙龈發炎、食物塞牙,嚴重影響了牙齒的咀嚼功能,及時補牙能有效保護牙齒,避免牙齒的脫落。

  


  

恢複牙齒的自然形態。牙齒的色澤、形態直接影響面部的美觀,尤其是前牙的形態對人的心理、情緒有至關重要的作用。

  


  

  


  

補牙後要注意什麽

  



  

1. 樹脂補牙後的當天,不可刷牙,以防觸碰引起補牙材料的脫落。

  

2. 補牙材料的凝固需要一定的時間,因此補牙後2小時內應忌食,2小時後,可適當吃些清淡、溫和的流食及半流食;如牛奶、面包、粥及湯類。

  

3. 補牙後的牙體,其咀嚼功能較真牙差,因此補牙後應注意口腔的防護,切不可咬過硬的食物。

  


  

  


  

4. 若齲洞較大,補牙後,牙體修複後往往由于牙體在咀嚼時易發生牙折,爲此,這類牙齒補牙後應根據醫生的建議及時做牙冠給予保護。

 

  

 

  

5. 補牙後如有輕微的疼痛及不適是正常的,過一段時間方可適應,而如果補牙後疼痛非但不減輕,反而進一步加重,則應及時讓主治醫生進行進一步的調整修複。

  

  

最後,小編提醒大家,在日常生活中要注意口腔衛生,早晚刷牙,同時,應該定期看牙醫,進行口腔檢查和潔牙,及時去除牙菌斑和牙結石,減少牙菌斑和結石對牙齒的傷害。

  

維港口腔連鎖

維港口腔是粵港知名醫藥大學導師、國家985重點大學醫學博士(碩士研究生導師、高級教授)成立的香港大型醫療集團,創始於2008年。連鎖各分院匯聚來自香港、內地的博士、碩士專家牙醫,堅持實實在在做好牙科診療。

維港口腔踐行「醫道濟世」的大學校訓,十六年穩定開診。榮獲「2024香港企業領袖品牌」,是諾貝爾種植系統全球放心植牙中心,香港新城電台與廣東衛視推薦品牌,服務超過三十個國家和地區的顧客,受到粵港澳大灣區及周邊城市市民的歡迎與信任。

數萬顧客的壹致好評

粵港澳大灣區至多顧客認可同口碑推薦的牙科

我們確保您可以得到細緻的關懷與照顧

每壹份禮物嘅背後都係顧客對我哋嘅認可同安心

維港口腔醫療級器械消毒流程

維港口腔醫療級器械消毒流程

維港口腔環境溫馨·舒適就診

應診時間

星期壹至星期日、公眾假期正常應診

9:30am-6:30pm

WhatsApp聯絡

常見問題

點解要選擇維港口腔?

維港口腔踐行「醫道濟世」的大學校訓,各分院匯聚來自香港、內地的博士碩士高資歷牙醫,十七年穩定開診。榮獲「2024香港企業領袖品牌」、「2025香港企業領袖品牌」,是諾貝爾種植系統全球放心植牙中心,香港新城電台與廣東衛視推薦品牌
至今已服務超過三十個國家和地區的顧客,受到粵港澳大灣區及周邊城市市民極高的口碑評價及信任推薦 珠海、深圳設有八大分院,香港亦設有咨詢及服務保障中心,有任何問題都可以隨時預約免費咨詢,讓人十分放心

假如我在 CT 掃描後不接受報價,我將會被收費嗎??

不會!只要未開始實際服務之前,你不會被收取任何費用。

治療過程中,會出現額外加價的情況嗎?

不會,治療前我們會詳細說明治療方案及對應的價錢,顧客同意並簽字後,我們才會正式進行診療服務

我可以透過港幣支付費用嗎?

可以。維港口腔會按照當日匯率轉算收取費用,而匯率會及時告知客人

我可以隨時更改預約時間嗎?

可以,請盡早通過wechat或whatsapp聯絡我們,告知我們你原本預約的時間及資料,並且重新預約的日期及時段

廣東話免費咨詢預約

點擊確定,免費向廣東話牙醫咨詢牙齒問題 +853 65585927

取消

確定

WhatsApp咨詢

點擊「確定」,即可咨詢預約維港口腔,並申請免X-Ray費用,免問診金費用!

取消

確定

WeChat 添加

點擊「打開wechat」進入微信
*可申請免X-Ray、問診金費用
*添加成功後,發送「我要拎$400優惠券」,即可領取牙科優惠

打開WeChat