補牙要趁早!小齲壞久拖不治,最後花費上萬,冤不冤?
牙痛得震天動地、通宵難以入睡
心想“一定要找時間去看牙醫!”
不過一旦疼痛消失:
“看牙醫好可怕,而且還貴,還是以後再說吧…”
結果牙痛沒有拖好,反而變得更嚴重!
牙痛到無法入睡,似乎沒有盡頭了!
只能鼓起勇氣終於去補牙!
一係蛀牙出現痛楚,咁就代表牙髓被細菌感染,可能已經引起牙髓炎,嗰陣就要進行根管治療;
二係蛀牙面積太大,用複合樹脂補牙通常冇咩效果,補完就唔耐就會掉。
三係蛀牙搞到牙根發炎,齒齦上面仲會長膿包,醫生會影相檢查症狀。
通常蛀牙有三個階段,各位聽講嚟坐低啦:
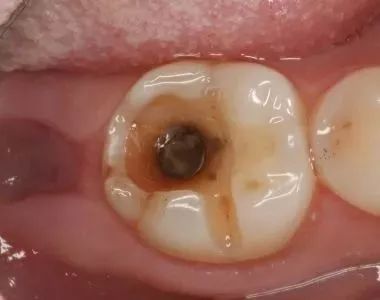
第一個階段:牙齒齒面會有條黑線,大牙通常最易見到,代表開始長蛀牙啦,牙釉質被細菌蛀壞,但冇痛冇癢嘅感覺,應該即刻嚟填補窩溝蛀牙;
第二個階段:牙齒出現小黑洞,代表已經出現中度蛀牙,細菌侵蝕到牙齒組織,伴隨著牙齒敏感,黑色壞死的物質實際上是細菌產生的,在這個時候還可以填補牙齒;
第三階段:牙齒超過一半爛掉,表示已經是嚴重的蛀牙了,細菌損害了牙髓和牙神經,伴隨劇烈的疼痛,牙神經病變這時得根管治療處理,挽救傷痕累累的牙齒。

補完牙齒並不代表就能一勞永逸,沒有好好保養牙齒,也有可能再次脫落!
俗話話:小洞唔補,大洞食苦。
蛀牙是牙齒健康的天敵,好多人由細路開始蛀牙,蛀牙不僅會導致牙齒疼痛而且長期蛀牙會齲壞牙齒,由淺入深嘅齲壞,牙齒裏形成深深的牙洞,而家只有及時補牙先可以防止蛀牙進一步發展。
所以小編提醒:要趁早補牙。
如果有蛀牙(齲病)就應該盡快補返,因為補好咗齲洞之後可以阻止齲病病變的發展,及早恢復牙齒的功能,保持牙齒排列整齊。
如果唔即時治療,病情會越來越嚴重,從輕微齲爛發展到嚴重齲爛,對冷飲熱食酸甜味等食物會敏感;當準牙齒嗰度受損,就會引起準牙齒炎,嗰陣個牙痛會好辛苦。
當病變再進一步發展,會引起根尖炎、根尖周膿腫,甚至頜骨骨髓炎,牙齒脫落缺失。牙齒的齲壞、缺失,會影響咀嚼,加重胃腸負擔,進而影響身體健康。
溫馨提醒:
在日常生活中要注意口腔衛生,日常要早晚刷牙,同時,要定期去看牙醫,做口腔檢查同埋潔牙,平時要即刻清除牙菌斑同埋牙結石,減少牙菌斑和結石對牙齒的傷害。