牙科通識吃東西塞牙點回事

2023-09-18Vickong牙科通識


  

對於易塞牙嘅人黎講,每次食飯都係一種折磨。食一口嘢,哎呀,塞牙咗,嚼一下,嗚嗚嗚~好痛,所以每次只能含混吞落肚度,根本唔能夠好好品嚐美味。好多人留言問編輯,食嘢塞牙到底係點解?底下就同大家好好傾傾呢個問題。

  

一、插牙嘅人先識到嘅痛苦 


  

如果你開始塞牙咗,基本上就係話你嘅牙有啲問題。

 

  

塞牙喺醫學上稱為食物嵌塞,又稱嵌食症。正常情況底下,牙同牙之間緊密接觸,唔會發生塞牙。

  

塞牙有好多種可能,有啲係牙齒有洞,有啲係牙縫過大等等。只要我哋口腔入面有2顆或以上嘅牙齒,可能會塞牙

兩、經常塞牙嘅原因


  

塞牙這個困擾可能會煩惱你一輩子。

1、鄰面齲壞,破壞咗接觸區同埋邊緣嶺。

  

  

相鄰嘅兩顆大牙鄰面有齲洞,成年人龍齒,大多壞喺牙縫部位,相鄰嘅兩顆大牙鄰面有齲洞,食嘅嘢就全部填埋入去。你不一定看得到它,佢卻可以每日都折磨你。如果想解決的話,去醫院做蛀牙填補吧。

有啲牙縫嘅蛀牙就唔容易填,如果填補材料同隔離嘅牙齒接觸唔緊密,或者接觸嘅位置唔好,就會導致口塞牙,好常見嘅情況。

  

其他一些牙科治療,例如牙冠同其他牙齒接觸唔好等等,都會口塞牙,所以,你唔好以為填咗牙就妙哇。

  


  

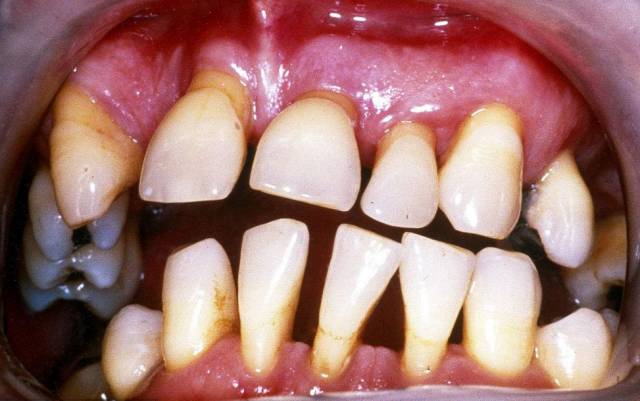
2、牙周病嚟喇,牙齒鬆咗

  


  

牙周病就係指喺牙嘅四周組織發生嘅疾病。我嘅牙齒根部係被牙槽骨固定住嘅,牙槽骨外面又包裹了一層牙龈,它們讓牙齒一個挨一個緊密地排列在一起,基本上唔會擠出縫隙俾食物攻擊。

  

  

患有慢性牙周病嘅牙齒

  


  

如果唔留意口腔衛生,食物殘渣產生嘅毒素就會慢慢刺激牙龈發炎,頻繁發炎嘅牙龈又會刺激到牙槽骨,發炎嘅牙槽骨慢慢吸收,變得越來越低,包裹佢嘅牙龈又會慢慢萎縮,咁樣暴露係外面嘅牙根就會越來越多,固定佢嘅力量越來越細,牙齒就會慢慢鬆動。

  

  

可能呢種微妙嘅鬆動你平時根本察唔到,可一旦吃一些堅韌難咬的食物時,用嘅力氣係平時嘅好幾倍,在上下牙拼命往一起用力時,松動的牙齒就被推開了一道縫兒,韭菜絲趁機往裏一擠。

  


  

插咗一把~

  


  

  


  

PS:輕微嘅牙周病嘅症狀

  

A、牙齦邊緣紅腫

  

B、刷牙時牙齦容易出血

  

C、可能有牙石積聚

  

D、牙齒或者牙齦可能會疼痛

  

E、可能出口臭

  


  

  


  

處理方法:

  

每日朝晚用牙刷、牙線等等 口腔護理用品,徹底清除牙菌膜。

如果有牙石,要接受洗牙以去除牙石,以便能容易同徹底地清除牙菌膜。噉樣,輕微牙周病係可以自然痊癒嘅。

 

  

再PS:嚴重嘅牙周病症狀呢?

 

唔好問我嚴重嘅啦,如果哂咗先知嚴重嘅,你早就去睇牙醫啦,預防!預防!預防啊各位。

  


  

3、牙齒唔整齊

  


  

你已經校正過牙齒啦?你嘅牙齒睇上去好整齊?外觀整齊唔代表牙齒結構真係整齊,只要一顆牙排列有點歪,塞牙就會出現。

  


  

4、智齒嘅混蛋在搗鬼

  


  

  


  

智齒是最容易塞的一顆牙了,因為大多數人智齒長得都唔正,別嘅牙都係由下向上直立長,不過智齒經常由後向前橫貫長,于是它跟前面的牙之間就出現了一道楔形的溝,噉樣就極其容易塞牙。

  


  

5、年紀大牙齒衰退

  


  

老人家嘅牙槽骨會出現自然衰退,噉樣的塞牙,簡直勢不可擋。

  


  

三、塞牙嘅危害大大嘅

  


  

塞牙會令牙齒脹痛,以此容易造成偏側嚼食甚至進食障礙。

  


  

塞牙仲會令你口臭。食物殘渣產生大量細菌,仲有一啲唔好聞嘅味道……

  


  

  


  

塞牙容易令你患齲齒。好多塞牙,都係會導致齲齒嘅。

  


  

塞牙仔都會產生牙周病。肉絲塞住牙縫俾細菌繁殖嘅溫床,細菌大量繁殖就會令牙床發炎~

  

四、洗牙、用牙線會使牙縫變大嗎?


  

懂得洗牙、用牙線就代表你開始有初步口腔保健意識啦。

  


  

  


  

正確的洗牙、用牙線並唔會令牙縫變大

  

正確的洗牙、用牙線並唔會令牙縫變大

  

正確的洗牙、用牙線並唔會令牙縫變大

  


  

最後我們來學習一下牙線的正確使用方法吧!

  


  

首先俾我睇下你哋嘅雙手,取一段約20公分長嘅牙線,分別纏繞雙手嘅中指,拉緊。用拇指同食指指腹控制牙線。

  

  

將牙線放喺兩顆牙齒之間嘅牙縫,向牙齦方向輕柔地施加壓力,左右拉動牙線,令牙線順利滑入牙隙。切忌使用暴力將牙線壓入牙隙!暴力有機會導致牙齦、牙乳頭嘅損傷。

  

  

牙線入到牙齒縫隙後分別向口內、口外壓緊牙線,左右拉動牙線,輕柔地上下徹底清潔前、後牙齒嘅鄰位。然後向咬合面提拉牙線。重覆以上步驟,直到清潔好每一個牙鄰面。

  

  

PS:小編一朋友,食飯總係塞牙,還牙齦出血,我催著她催了一年,叫她去洗牙。懶人就係懶人,最後拖住佢去左牙科診所,雖然而家仲有時會有東西卡喺牙齒裏面(唔可以避免),但而家算係好多咗,冇天天跑去洗手間剔牙、漱口。

  

  

PS:如果以上方法都冇用,就去醫院請醫生幫手取出,別唔信啊,真有啲人把嘢塞喺牙齒度摳都摳唔出嚟!

  

當然覺得麻煩嘅人,可以直接揀購牙線棒或者牙間刷嚟清潔喎~

維港口腔連鎖

維港口腔是粵港知名醫藥大學導師、國家985重點大學醫學博士(碩士研究生導師、高級教授)成立的香港大型醫療集團,創始於2008年。連鎖各分院匯聚來自香港、內地的博士、碩士專家牙醫,堅持實實在在做好牙科診療。

維港口腔踐行「醫道濟世」的大學校訓,十六年穩定開診。榮獲「2024香港企業領袖品牌」,是諾貝爾種植系統全球放心植牙中心,香港新城電台與廣東衛視推薦品牌,服務超過三十個國家和地區的顧客,受到粵港澳大灣區及周邊城市市民的歡迎與信任。

數萬顧客的壹致好評

粵港澳大灣區至多顧客認可同口碑推薦的牙科

我們確保您可以得到細緻的關懷與照顧

每壹份禮物嘅背後都係顧客對我哋嘅認可同安心

維港口腔醫療級器械消毒流程

維港口腔醫療級器械消毒流程

維港口腔環境溫馨·舒適就診

應診時間

星期壹至星期日、公眾假期正常應診

9:30am-6:30pm

WhatsApp聯絡

常見問題

點解要選擇維港口腔?

維港口腔踐行「醫道濟世」的大學校訓,各分院匯聚來自香港、內地的博士碩士高資歷牙醫,十七年穩定開診。榮獲「2024香港企業領袖品牌」、「2025香港企業領袖品牌」,是諾貝爾種植系統全球放心植牙中心,香港新城電台與廣東衛視推薦品牌
至今已服務超過三十個國家和地區的顧客,受到粵港澳大灣區及周邊城市市民極高的口碑評價及信任推薦 珠海、深圳設有八大分院,香港亦設有咨詢及服務保障中心,有任何問題都可以隨時預約免費咨詢,讓人十分放心

假如我在 CT 掃描後不接受報價,我將會被收費嗎??

不會!只要未開始實際服務之前,你不會被收取任何費用。

治療過程中,會出現額外加價的情況嗎?

不會,治療前我們會詳細說明治療方案及對應的價錢,顧客同意並簽字後,我們才會正式進行診療服務

我可以透過港幣支付費用嗎?

可以。維港口腔會按照當日匯率轉算收取費用,而匯率會及時告知客人

我可以隨時更改預約時間嗎?

可以,請盡早通過wechat或whatsapp聯絡我們,告知我們你原本預約的時間及資料,並且重新預約的日期及時段

廣東話免費咨詢預約

點擊確定,免費向廣東話牙醫咨詢牙齒問題 +853 65585927

取消

確定

WhatsApp咨詢

點擊「確定」,即可咨詢預約維港口腔,並申請免X-Ray費用,免問診金費用!

取消

確定

WeChat 添加

點擊「打開wechat」進入微信
*可申請免X-Ray、問診金費用
*添加成功後,發送「我要拎$400優惠券」,即可領取牙科優惠

打開WeChat