一顆蛀牙如果不及時補,等待它的命運將是什麼?
喺開始今日嘅話題前,想先問一個問題:如果你發現細路嘅乳牙蛀咗,係等住換牙,定係會帶佢去補牙?
國家衛健委嘅數據表明,絕大多數嘅爸爸媽媽嘅答案係前者:等住換牙。喺我國 5 歲嘅細路中,乳牙蛀牙率高達 70.9%,得到治療嘅卻只有 4.1%。
唔好咁諗。牙齒唔似骨骼咁會自己慢慢好返,如果唔理佢蛀掉,佢只會蛀得更深。
小朋友唔單止會痛,仲會唔肯食嘢,更糟糕嘅係,一顆乳牙蛀掉之後,可能都會影響到周圍嘅乳牙,甚至之後恆牙嘅發育同出來都會受到影響。
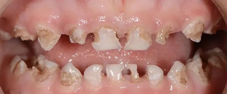
△呢個係 4 歲細細個嘅小朋友嘅牙齒呀,已經蛀得面目全非咗
喺明白蛀牙嘅發展過程之前,我哋先嚟識嚇齒齒。
齒齒主要由三部份組成。最外面嗰層白白嘅,叫“牙釉質”,主要由鈣、磷等無機物組成,係人體最堅硬嘅組織,硬度堪比水晶。
往入邊一層係“牙齒嘅本質”,上面有好多細細嘅細管,叫“牙齒嘅本質小管”,有啲似裝修時埋係牆裏嘅管道,可以直抵牙齒最入面嘅部分——牙髓,亦都係我哋平時講嘅“牙神經”。
牙髓裏面充滿了神經、血管等,可以通過牙齒嘅本質小管感受外界。當我哋食特別冷、特別熱或者其他刺激性食物時,牙髓就會有感覺。尤其係牙齒同牙齦嘅交界處,牙釉質比較薄,感覺會更加明顯。

一顆健康嘅牙齒變成蛀牙,就是從牙釉質、牙齒嘅本質、牙髓,一步步由外向裏被破壞嘅。
*
第一階段:脫礦——牙釉質缺損
最先出現的,是牙釉質脫落階段,醫學上有個專業術語叫“脫礦”。
口腔中有很多導致蛀牙的細菌,我們這裏統稱爲“致齲菌”。致齲菌會利用牙齒上殘留的食物,發酵產出酸性物質。
酸性物質最先腐蝕的,就是牙齒最外面的牙釉質,讓佢啲鈣慢慢脫落、磷,降低硬度,呢就係“脫礦”。
△牙釉質開始缺損
原本啲唾液入面嘅鈣、磷會不斷沈積在牙齒上,進行“再礦化”,呢個係一箇平衡的過程。
但如果孩子嘅口腔衞生習慣唔好,比如食完野之後唔鍾意漱口、刷牙,就會導致致齲菌產出更多酸性物質,或者酸性嘅物質喺牙齒上停留更耐時間,脫礦的速度就比再礦化快了,呢個平衡就被打破咗。咁樣牙齒表面就會出現白色或者黃色嘅斑點,摸上去啲粗糙。
第二階段:蛀齒——破壞牙釉質、牙齒嘅本質
等牙齒脫礦到一定程度,就會進入蛀齒階段。蛀齒也是分程度的,輕一點的只是破壞牙釉質或者淺層的牙齒嘅本質,嚴重一點的就會破壞到深層的牙齒嘅本質,非常靠近牙髓了。
△程度輕的蛀齒蛀到牙釉質,程度深的會蛀到牙齒嘅本質
在蛀齒階段,小朋友嘅牙齒表面會出現黑洞,睇落好似坑坑窪窪。如果你用一隻牙籤喺黑洞上面滑幾滑,會發現唔可以順利滑過去。
△IVhkSj
wdnmZL:牙髓炎症——破壞牙髓
vpTRPt,蛀牙就要爛到牙髓了,會引起牙髓炎症,亦都係我哋平時講嘅“牙神經發炎”。fjihYe,牙髓上有很多神經,當食物塞在洞裏壓迫到牙髓時,YMCLNR,AHbymn。
△已經蛀到牙髓了
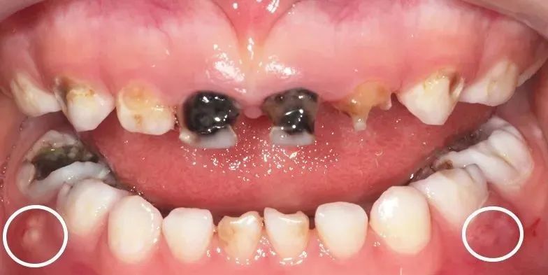
如果炎症繼續發展到牙根,仲會穿過牙齦,壓住孩子嘅口唇或臉頰,引起潰瘍爛肉,甚至發炎化膿,導致整個小臉腫起來。
△左右兩側牙根已經有化膿現象咗
呢時就唔係如果修補就可以解決嘅,而是需要切斷或去除牙髓。唔止係治療時間、程序更加複雜,前後要跑好幾趟,仲連費用從補牙嘅幾百蚊,升級到左幾千。
發炎嘅牙根,都會影響後來恆牙嘅出牙同生長。因為恆牙胚就藏喺乳牙牙根底下,長期生活喺有炎症同膿液嘅環境入面,恆牙嘅發育就會受到影響,比如恆牙牙釉質發育不良、恆牙落牙床位置唔啱。呢就好似種子嘅土壤壞咗,植物生長自然會受到影響。
*
你睇下,一粒蛀牙如果唔即刻治療,就會從脫礦、蛀齒到牙髓炎症,少少變得傷痕累累。唔止咁啦,殘留喺蛀牙入面嘅食物渣渣,會促進致齲菌的生長和繁殖,可能會慢慢擴散出啎,牽連咗周圍牙齒。
所以,如果你發現小朋友牙齒上有細細黑痕,必須要盡早處理。平時都需要幫孩子培養良好嘅口腔衛生習慣:
少啲食含糖嘅零食同飲料;
早晚各刷一次牙,尤其係 6 幼童嘅時候,需要父母幫手刷牙;
每 3~6 個月帶細路見牙醫,盡早發現潛在嘅牙齒問題。
而家,叫細路開口嘅時候,好好睇下佢嘅牙齒,睇下有冇細黑洞啫